A Alcoolização de Endometrioma é um procedimento minimamente invasivo que trata de forma definitiva os endometriomas nos ovários, melhorando os sintomas da endometriose e preservando a reserva ovariana, sem a necessidade de uma cirurgia. Saiba mais no artigo!
O que é a Alcoolização de Endometrioma?
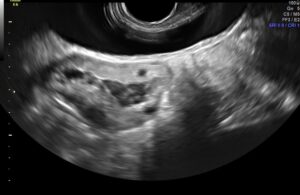
A alcoolização de endometriomas é um procedimento guiado por ultrassonografia transvaginal realizado no centro cirúrgico sob anestesia geral, na qual álcool absoluto é colocado no interior do cisto, para destruir as células de endometriose.
A alcoolização de endometriomas apresenta a mesma taxa de cura que a cirurgia, ao redor de 90% e não diminui a reserva ovariana.
A vantagem em relação a cirurgia também acontece pela recuperação mais rápida e no menor custo para o tratamento.
A literatura apresenta dezenas de trabalhos científicos publicados, assim como revisões sistemáticas e metanálises. A alcoolização é um procedimento seguro e indicado para o tratamento da endometriose ovariana.
As principais referências bibliográficas para alcoolização de endometrioma estão localizadas no final deste texto e podem ser acessadas a partir do link.
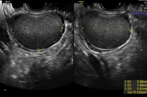
Como é um endometrioma
O endometrioma é um cisto que cresce no interior do ovário. A cápsula do endometrioma apresenta em sua superfície interna células da endometriose, que mensalmente sangram o para o interior do cisto, aumentando as suas dimensões.
Com o aumento das dimensões do cisto, surgem sintomas de dor pélvica, distensão abdominal, cólicas, dor na relação sexual e compressão dos folículos ovarianos, dificultando o seu desenvolvimento e aumentando as chances de infertilidade.
Indicações para a alcoolização do endometrioma
Mulheres com endometrioma ovariano entre 2 e 10 cm.
Contraindicações para o procedimento
- Pacientes com endometriose no ureter;
- Mulheres com endometriose no intestino com sinais de obstrução intestinal;
- Endometriomas com papilas vascularizadas.

Como é a Alcoolização dos Endometriomas?
Passo a passo do procedimento:
- Paciente sob anestesia geral no centro cirúrgico. Realizada administração de antibiótico 30 minutos antes do procedimento;
- Aspiração do conteúdo do cisto com uma agulha de 35 cm, guiado por ultrassonografia transvaginal. A mesma agulha que utilizamos na aspiração de oócitos nos procedimentos de reprodução assistida;
- Lavagem da cavidade do cisto com soro fisiológico 0,9% múltiplas vezes, até a saída de líquido claro;
- Aplicação do álcool absoluto na cavidade do cisto. O volume de álcool é sempre 60% do volume inicial do endometrioma.
- O álcool deve ficar pelo menos 10 minutos na cavidade do cisto.
- Aspiração do álcool e retirada da agulha.
- Paciente após o procedimento é encaminha para monitorização na sala de recuperação.

Complicações do procedimento
As taxas de complicações são mais baixas que a da cirurgia, sendo a principal complicação a infecção, que pode acontecer em até 0,3% das vezes.
Febre, distensão abdominal, corrimento vaginal necessitam de reavaliação pelo ginecologista que realizou o procedimento.
Como é a recuperação da Alcoolização de Endometrioma
A alta hospitalar na maior parte das vezes acontece duas horas após a alcoolização do endometrioma.
O retorno para as atividades habituais acontece no dia seguinte.
Durante a primeira semana é possível um leve desconforto pélvico, que geralmente melhora com analgésicos.
Recomenda-se abstinência sexual por 3 dias.
As tentativas para engravidar podem começar após 30 dias, de forma natural, ou por fertilização in vitro (FIV).
Dr. Fernando Guastella é médico ginecologista referência nacional no diagnóstico e tratamento da endometriose. É coordenador de pós-graduação sob o tema e já realizou dezenas de procedimentos de alcoolização.
Agora que você conhece um pouco mais sobre a alcolização de endometrioma, conheça o Dr. Fernando Guastella e seu trabalho nos diversos tratamentos para endometriose, entre em contato e agende sua consulta!
Referências Bibliográficas
- Frankowska K, Dymanowska-Dyjak I, Abramiuk M, Polak G. A eficácia e segurança da escleroterapia transvaginal com etanol no tratamento de endometriomas – uma revisão sistemática. Int J Mol Sci. 2024;
- Ronsini C, Iavarone I, Braca E, Vastarella MG, De Franciscis P, Torella M. A eficiência da escleroterapia para o tratamento do endometrioma: uma revisão sistemática e meta-análise de resultados clínicos e de fertilidade. Medicina (Kaunas). 2023;
- Kim GH, Kim PH, Shin JH, Nam IC, Chu HH, Ko HK. Escleroterapia guiada por ultrassom para o tratamento do endometrioma ovariano: uma revisão sistemática atualizada e meta-análise. Eur Radiol. 2022;
- Cohen A, Almog B, Tulandi T. Escleroterapia no tratamento do endometrioma ovariano: revisão sistemática e meta-análise. Fertil Esteril. 2017
Saiba Mais
Ginecologia:
Especialista em endometriose, Tratamento para mioma uterino, Adenomiose, Endometriose no ovário, Endometriose no ligamento uterossacro, Endometriose no intestino, Endometriose umbilical, Endometriose na bexiga, Endometriose na adolescência, Dor no coccix pode ser endometriose, Alimentação e Endometriose, Endometriose no diafragma, Ginecologista Especialista em Adenomiose, Ginecologista Especialista em Mioma, Ovários policísticos, Endometrioma, Endometriose no nervo ciático, Cirurgia de endometriose, Tudo sobre endometriose na cicatriz da cesárea, Corrimento, Laser, Carboidratos, Fibras, Gorduras, Pompoarismo, Vaginismo
Coronavírus e gravidez, Teratoma no ovário, Histerectomia, Histerectomia Robótica, Intestino preso após cirurgia, Pílula anticoncepcional, efeitos da pílula anticoncepcional, Lubrificação da vagina, DIU de cobre, Terapia de reposição hormonal, Pólipo Endometrial, Miomectomia: tipos de cirurgia e recuperação, Radiofrequência para tratamento dos miomas, Mioma, mioma atípico e sarcoma uterino, HPV, Prolapso dos órgãos pélvicos, Prolapso Uterino, Histerectomia Robótica, Espessamento endometrial, histerossonossalpingografia (HyCoSy), Sangramento na menopausa, Histeroscopia diagnóstica e cirúrgica, Especialista em vaginismo, Miomectomia robótica, Embolização de Miomas, Comparação entre radiofrequência e embolização de miomas, Especialista em Incontinência Urinária Feminina, Câncer ginecológico e Câncer intestinal, Melhores tratamentos para incontinência urinária, Especialista em Incontinência Urinária Feminina, Pólipos endometriais: como deve ser o tratamento, Como fazer o pompoarismo corretamente, Orgasmo feminino.
Ultrassom: tireoide, mamas, abdome, carótidas.