Cólica menstrual forte
A cólica menstrual forte é um sintoma que na maior parte das vezes apresenta alguma causa específica e, portanto, é fundamental a investigação.
A cólica quando tem uma duração maior que 6 meses é chamada de dor pélvica crônica.
Pode ser cíclica, quando acontece durante as menstruações ou não cíclicas, quando acontece fora do período menstrual.
Doenças que determinam cólicas menstruais fortes
- Endometriose;
- Adenomiose;
- Mioma uterino;
- Varizes pélvicas;
- Causas não ginecológicas.
Endometriose e cólica menstrual
A endometriose é a causa mais comum para cólica menstrual forte e é definida quando células endometriais se desenvolvem fora do útero, acometendo 1 em cada 10 mulheres.
O endométrio é a parte mais interna do útero que durante o ciclo menstrual sofre modificações para receber o bebê e quando não ocorre a gestação, o endométrio se desprende e saí com a menstruação.
A endometriose acomete mulheres no período reprodutivo, ou seja, durante o período em que as menstruações acontecem, mais frequentemente entre os 20 e 40 anos, regredindo na menopausa.
Imagem de ultrassonografia demonstrando endometriose profunda localizada no ligamento uterossacro direito.
Tipos de endometriose
A endometriose pode ter diferentes apresentações, mas é basicamente dividida em 3 tipos:
- Superficial;
- Profunda;
- Ovarina.
Endometriose superficial
A doença superficial é definida pela invasão da endometriose em menos de 1 mm na superfície do peritônio, e por este motivo é superficial, sendo a forma mais comum da doença.
É comum de ser encontrada em cirurgias por diferentes motivos, como por exemplo a laqueadura tubária, e por isso, acredita-se que a endometriose superficial não determina sintoma na maior parte das mulheres.
Endometriose profunda
A endometriose profunda é definida quando os implantes de endometriose invadem o peritônio em mais de 5 mm ou quando atingem outros órgãos, como o intestino, a bexiga ou a vagina.
A endometriose profunda é a forma que mais determina cólicas menstruais fortes.
Endometriose no ovário
A endometriose no ovário é definida pela presença de um cisto, que contém sangue em seu interior, chamado de endometrioma.
A sangue presente no endometriose, é proveniente dos focos de endometriose contidos no ovário.
Quase sempre a endometriose no ovário é acompanhada por outros focos de endometriose superficial e profunda.
Os principais sintomas de endometriose são:
- Cólica menstrual forte;
- Dor pélvica crônica;
- Dor durante as relações sexuais na profundidade e vaginismo secundário;
- Infertilidade, independentemente de sintomas dolorosos;
- Dor para evacuar, diarreia ou constipação no período menstrual;
- Dor na cicatriz da cesárea;
- Saída de secreção pelo umbigo ou dor umbilical;
- Distensão abdominal;
- Fadiga crônica.
Adenomiose e cólicas menstruais
A adenomiose é uma doença, de certa forma, semelhante a endometriose e acontece quando as células endometriais invadem o músculo do útero (miométrio).
Representa uma causa comum de cólica muito forte, mas especialmente nas mulheres com mais de 35 anos.
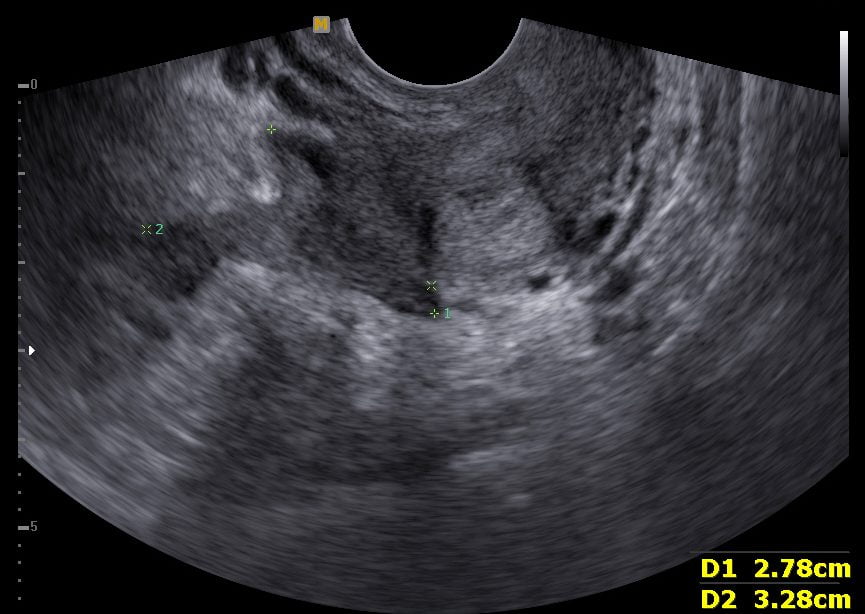
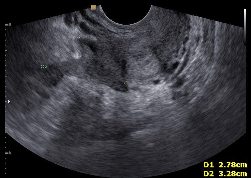
Imagem de ultrassonografia transvaginal. Útero de dimensões aumentadas e com sinais de adenomiose.
Os principais sintomas da adenomiose:
- Cólica menstrual forte, semelhante a endometriose;
- Aumento do volume uterino;
- Sangramento menstrual aumentado;
- Distensão abdominal.
É comum a associação de endometriose e adenomiose
Mioma uterino e cólica menstrual
O mioma uterino é um tumor benigno, constituído por células do musculares do útero e acomete cerca de 60% das mulheres.
Os sintomas mais comuns dos miomas são o aumento do volume uterino, cólica e sangramento, mas a maior parte dos miomas não determinam nenhum sintoma.
Os sintomas dos miomas dependem especialmente da sua localização e em segundo lugar de suas dimensões.
Miomas que se localizam parcialmente ou completamente dentro do endométrio são os mais sintomáticos e felizmente os menos comuns e são chamados de miomas submucosos.
Cólica menstrual forte não são comuns nos miomas, a não ser nos casos de miomas submucosos e especialmente os miomas paridos, que acontece quando o útero tenta expulsar um mioma submucoso pelo colo uterino.
Miomas localizados predominantemente para fora do útero, mesmo que de grandes dimensões são geralmente assintomáticos e são chamados de miomas subserosos.
Varizes pélvicas e cólicas menstruais
As varizes pélvicas acontecem quando as veias uterinas e ou ovarianas ficam dilatadas e com o sentido do sangue invertido, espontaneamente ou durante manobras provocativas, como a manobra de Valsalva (força como se fosse fazer cocô).
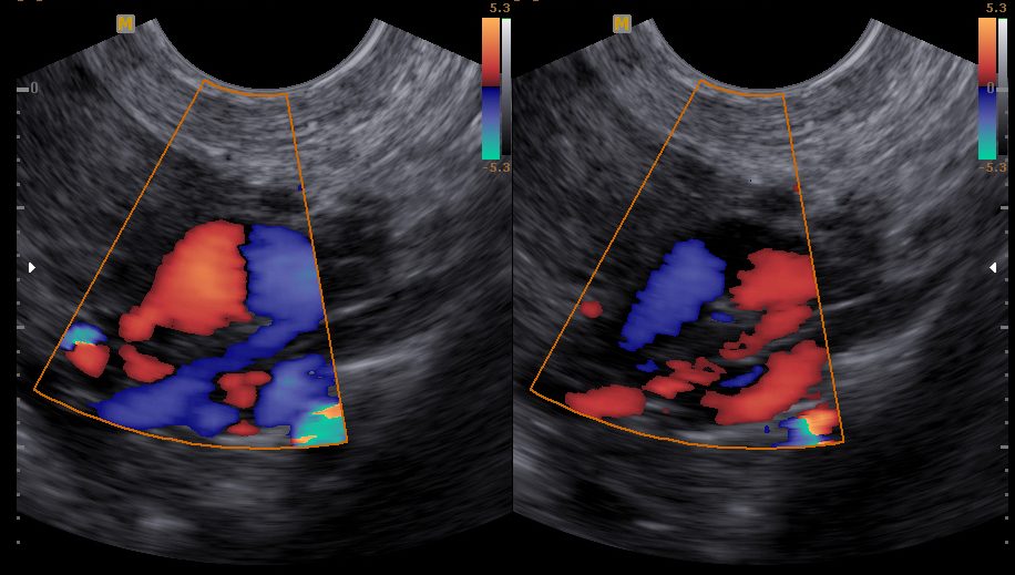
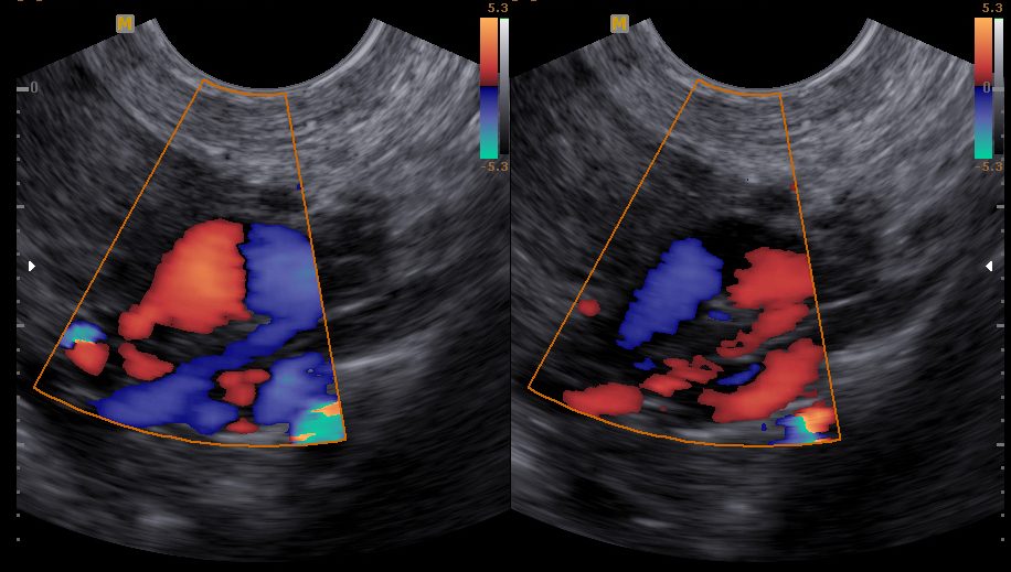
Imagem de ultrassonografia transvaginal demonstrando veias uterinas dilatadas e com mudança na direção do fluxo durante manobras provocativas, confirmando o diagnóstico de Varizes Pélvicas.
Os sintomas mais comuns das varizes pélvicas são a dor pélvica crônica, que piora com esforços, dor na relação sexual mesmo depois do ato terminado e sensação de peso na pelve.
Causas não ginecológicas de cólicas
As duas principais causas intestinais para cólica ou dor pélvica crônica são a constipação e a síndrome do intestino irritável.
A síndrome do intestino irritável determina sintomas de cólicas, diarreia e prisão de ventre de maneira alternada, flatulência exagerada e sensação de esvaziamento incompleto do intestino.
A principal causa urológica para dor pélvica é a síndrome da bexiga dolorosa, também chamada de cistite intersticial.
Os principais sintomas da cistite intersticial são:
- Dor pélvica crônica;
- Dor entre a vagina e o ânus;
- Amento da frequência urinária;
- Dor ou desconforto conforme a bexiga se enche ou esvazia durante a micção;
- Necessidade persistente e as vezes urgente de urinar;
- Dor durante a atividade sexual.
O diagnóstico de constipação, síndrome do intestino irritável e síndrome da bexiga dolorosa é clínico, sendo que os exames quando solicitados são para afastar outras causas de doenças no intestino, útero ou bexiga.
Recomenda-se o aumento no consumo de fibras e na ingesta de líquidos.
Cólica intensa sem diagnóstico
Quando se investiga as possíveis causas para as cólicas e dor pélvica e não se identifica nenhuma etiologia, a cólica menstrual é chamada de idiopática, ou seja, que não tem um motivo que a justifique.
A cólica idiopática é mais comum quando acontece desde a primeira menstruação, e, algumas vezes pode desaparecer com o tempo, mesmo sem tratamento.
Exames para cólica menstrual
A mulher que apresenta cólica deve passar por uma consulta ginecológica e um exame físico detalhado, pois algumas causas de dor podem ser mais fáceis de serem descobertas pelo exame ginecológico do que em um exame de imagem.
Os exames mais importantes para estabelecer a causa da cólica menstrual é a ultrassonografia transvaginal e a ressonância magnética.
O ultrassom transvaginal se possível deve ser realizado com preparo intestinal e por um especialista em endometriose.
Na minha prática clínica a causa mais comum de cólica sem diagnóstico são exames que não foram capazes de detectar a doença, motivo pelo qual é importante que os exames sejam feitos por especialistas, tanto o ultrassom, como a ressonância magnética.
Os dois exames são capazes de diagnósticas as causas anatômicas para as cólicas, ou seja, irão diagnosticar a endometriose, adenomiose, miomas e varizes pélvicas.
Um ginecologista que se dedica para o tema de dor pélvica e endometriose geralmente é o melhor profissional para a investigação da cólica intensa e dor pélvica crônica
Tratamento para cólicas menstruais
Existem diversas opções de tratamento para as cólicas menstruais, dependendo do motivo, entre eles, cirurgia, tratamento hormonal ou tratamentos alternativos.
Tratamento hormonal
O tratamento hormonal é a principal opções terapêutica para as cólicas menstruais, e por ser um tratamento de longo prazo, pode ser feito com basicamente dois tipos de hormônios, a progesterona e a combinação de progesterona com estrogênio.
A progesterona pode ser encontrada em comprimidos, implantes, dispositivos intrauterinos (DIU), como o Mirena e o Kyleena, além da forma injetável.
Quando uma pessoa não se adapta a uma via, pode ser tentada outra, e muitas vezes o resultado é adequado. O tratamento com progesterona sempre visa a interrupção das menstruações.
A progesterona não aumenta o risco de trombose e, desta forma, tem menos contraindicações que a combinação da progesterona com o estrogênio.
A combinação da progesterona e do estrogênio pode ser encontrada nas pílulas anticoncepcionais, adesivos e na fora de anel vaginal.
A terapia combinada traz maior estabilidade no endométrio, ou seja, as menstruações ficam previsíveis e é menos comum o sangramento inesperado.
Quando a pessoa decide menstruar, o fluxo sanguíneo fica reduzido e as cólicas menstruais geralmente ficam de menor intensidade ou ausente.
O anel vaginal e a via transdérmica, minimizam os riscos de trombose.
Cirurgia
A cirurgia geralmente é reservada para os casos que não melhoraram com o o uso dos hormônios e visa corrigir o problema de base, ou seja a retirada dos focos de endometriose, os miomas ou até a retirada do útero, uma cirurgia chamada histerectomia.
A histerectomia deve ser realizada em último caso, em mulheres com prole constituída.
Para as varizes pélvicas pode ser realizado um procedimento de embolização, com bons resultados.
Tratamentos alternativos para cólicas menstruais
Os tratamentos alternativos devem sempre que possível complementar o tratamento hormonal, mas também pode ser usado isoladamente.
Os principais tratamentos alternativos pata cólicas menstruais são mudanças alimentares, atividade física, Yoga, meditação, acupuntura e mindfullness.
Existe comprovação que dietas com gorduras de boa qualidade diminuem a chance do desenvolvimento de endometriose.
Acredito que mesmo não melhorando de maneira significativa as cólicas menstruais fortes, estes tratamentos apresentam outros benefícios, como a diminuição no risco de doenças crônicas e bem estar e, portanto, devem ser encorajados.

Texto escrito por Fernando Guastella, CRM 112.601 – SP. Médico ginecologista especialista em endometriose e dor pélvica.
Agora que você já sabe um pouco mais sobre cólica menstrual forte, conheça o Dr. Fernando Guastella e agende uma consulta.
Você sabe o que é Ginecologia Integrativa?
Deixe seu comentário.
Referências bibliográficas
- Tratamento da dor pélvica crônica. https://pubmed.ncbi.nlm.nih.gov/28742584/;
- Diagnóstico por ultrassom de endometriose e adenomiose: estado da arte. https://pubmed.ncbi.nlm.nih.gov/29506961/;
- Acurácia do ultrassom transvaginal versus ressonância magnética no diagnóstico da endometriose retossigmóide: revisão sistemática e metanálise. https://www.ncbi.nlm.nih.gov/pubmed/30964888;
- Mayo clinic;
- Nhs.
Saiba Mais
Ginecologia:
Endometriose no ligamento uterossacro
Dor no coccix pode ser endometriose
Ginecologista Especialista em Adenomiose
Ginecologista Especialista em Mioma
Tudo sobre endometriose na cicatriz da cesárea
efeitos da pílula anticoncepcional
Miomectomia: tipos de cirurgia e recuperação
Radiofrequência para tratamento dos miomas
Mioma, mioma atípico e sarcoma uterino
histerossonossalpingografia (HyCoSy)
Histeroscopia diagnóstica e cirúrgica
Comparação entre radiofrequência e embolização de miomas
Especialista em Incontinência Urinária Feminina
Câncer ginecológico e Câncer intestinal
Melhores tratamentos para incontinência urinária
Especialista em Incontinência Urinária Feminina
Pólipos endometriais: como deve ser o tratamento
Ultrassom: tireoide, mamas, abdome, carótidas.



2 Comentários “Cólica menstrual forte (dismenorreia) | Dr Fernando Guastella”
Ola vcs atendem convênio Bradesco?
Onde vcs atendem
Olá.
Os atendimentos são somente particular. Como você tem Bradesco, é possível pedir o reembolso.