Blog

Doppler de carótidas e vertebrais

Ultrassonografia de Doppler

Doppler de Carótidas e Vertebrais

O Doppler de carótidas e vertebrais é um exame que tem por objetivos o estudo da vascularização das principais artérias que levam sangue em direção ao cérebro.

 

É possível também identificar as placas de gordura que se desenvolvem no interior das artérias (aterosclerose), quantificar a obstrução e medir a espessura da parede da artéria.

 

Estas informações são utilizadas para a avaliação de risco para o desenvolvimento de problemas cardíacos como o infarto agudo do miocárdio (IAM) e o acidente vascular cerebral (AVC). 

 

A doença cardíaca (infarto) e o AVC quando somadas representam a principal causa de morte em homens e mulheres no Brasil e no mundo, sendo mais comum que a somatória de todos os tipos de câncer.

 

O Doppler de carótidas e vertebrais permite identificar pessoas com risco para o desenvolvimento destas doenças.

 

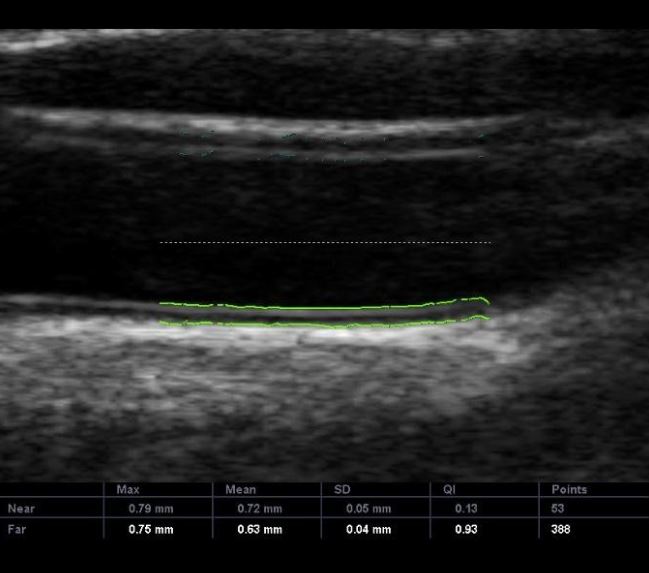
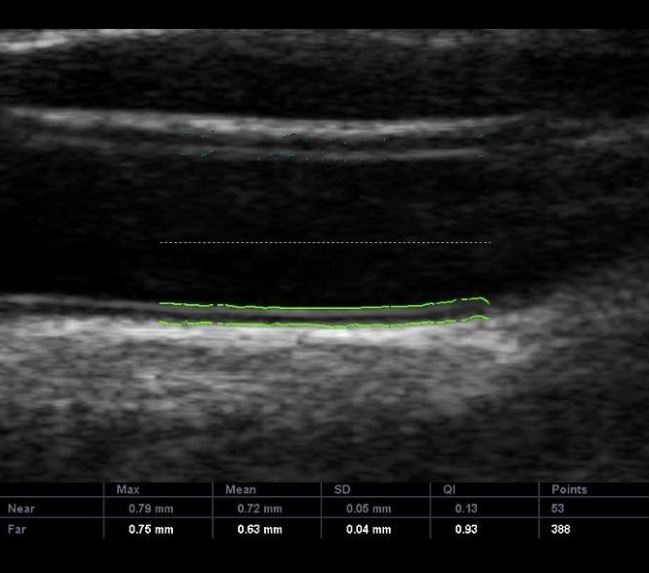
Medida da espessura mediointimal

O Doppler de carótidas e vertebrais permite a medida da espessura da parede da artéria, ou seja, a espessura mediointimal.

 

Quando a medida da espessura mediointimal da artéria carótida comum estiver acima do percentil 75 para sexo, raça e idade, a pessoa encontra-se no grupo de risco e modificações no estilo de vida e medicações podem ser implementadas para a prevenção.

 

Cada região do mundo realizou um estudo para a determinação das medidas das espessuras mediointimais de suas populações, sendo que os valores para a população brasileira encontram-se nas tabelas abaixo:

 

Doppler de carótidas e vertebrais

Doppler de carótidas e vertebrais

Tabelas adaptadas do Estudo ELSA-Brasil – Santos IS, Bittencourt MS, Oliveira IR, Souza AG, Meireles DP, RundekT, et al. Carotid intima-mediathickness value distributions in The Brazilian Longitudinal Study of Adult Health (ELSA-Brasil). Atherosclerosis.2014;237(1):227-35. Doppler de carótidas e vertebrais.

 

As principais medidas preventivas para a doença cardíaca e o derrame cerebral, fazem parte das orientações da ginecologia integrativa, como o controle do stress, alimentação saudável, sono de boa qualidade e na quantidade certa, além da prática de atividade física e ações para aumentar a espiritualidade e os relacionamentos sociais.

 

medida da espessura mediointimal

Doppler de carótidas e vertebrais. Exemplo da medida da espessura mediointimal na artéria carótida comum.

Doppler de carótidas e vertebrais e placas de gordura

Quando são identificadas pelo Doppler de carótidas e vertebrais placas de gordura no interior das artérias, não se deve realizar a medida da espessura mediointimal.

O risco de doenças coronarianas e de AVC  nesta situação é maior que o risco de uma medida da espessura mediointimal aumentada, pois a aterosclerose já está presente e quanto mais placas de gordura identificadas no exame, maior o risco.

Na presença de placas de gordura que determinam uma obstrução significativa, ou se o paciente apresenta sintomas relacionados com a obstrução, recomenda-se o tratamento para desobstruir as artérias, por meio de uma cirurgia aberta (endarterectomia) ou pela colocação de um stent.

Doppler de artérias carótidas e vetebrais

Doppler de carótidas e vertebrais. A seta branca mostra uma placa de gordura que determina obstrução maior que 70% na artéria carótida interna.

O ideal é identificar as pessoas de risco antes do desenvolvimento da aterosclerose por meio da medida da espessura mediointimal, por dados clínicos, laboratoriais e antecedentes familiares.

Como o Doppler de Carótidas e Vertebrais é realizado

Não há necessidade de nenhum preparo para o exame.

O paciente se deita em uma maca e é colocado um travesseiro em seu pescoço, com a finalidade de aumentar a exposição do pescoço e das artérias que por ali passam.

O médico que executa o exame estudará o padrão de fluxo e as velocidades do sangue as artérias carótidas comuns, carótidas internas, carótidas externas e artérias vertebrais.

Se não for observado placas de gordura no interior das artérias é realizado a medida da espessura mediointimal em ambas artérias carótidas comuns.

Recomenda-se que pessoas com mais de 40 anos, na presença de fatores de risco, que realizem eventualmente o Doppler de carótidas e vertebrais.

Lembre-se que a conscientização e as ações sobre os cuidados com a saúde devem acontecer independentemente do resultado do exame estar normal. 

Fatores de qualidade em um Doppler de carótidas e vertebrais

Eu acredito que não podemos oferecer menos que o máximo, quando o assunto é saúde e 3 fatores precisam estar presente em todos os exames:

  • Médico ultrassonografia capacitado e atualizado;
  • Equipamento de última geração;
  • Tempo adequado no agendamento para a realização do exame.

Texto publicado por Dr. Fernando Guastella, CRM 112.601 SP

Agora que você já sabe um pouco mais sobre o Doppler de artérias carótidas e vertebrais, agende seu exame.

Deixe sua pergunta nos comentários.

 

Saiba mais:

Endometriose: endometriose, cirurgia de endometriose, cólica menstrual, tratamento hormonal, tratamentos alternativos, ressonância magnética, sintomas, ultrassom transvaginal, especialista em endometriose e adenomiose.

Ultrassom: tireoide, mamas, abdome.

Saúde: corrimento vaginal, laser, carboidratos, fibras, gorduras, pompoarismo, vaginismo, coronavírus e gravidez

 

Referências bibliográficas

  1. Distribuições de valor da espessura mediointimal no Estudo Longitudinal Brasileiro de Saúde do Adulto (ELSA-Brasil). Doppler de carótidas e vertebrais. https://www.ncbi.nlm.nih.gov/pubmed/25244507;
  2. https://www.portal.cardiol.br/;
  3. Doppler de carótidas e vertebrais: orientações do CETRUS.
Share on facebook
Share on twitter
Share on google
Share on whatsapp

Cuide-se.
Tire todas as
suas dúvidas.

Deixe um comentário

O seu endereço de e-mail não será publicado. Campos obrigatórios são marcados com *