Espessamento endometrial: o que é, sintomas e tratamentos
Este texto explica o que é espessamento endometrial, causas, sintomas, diagnóstico, relação com o câncer e como deve ser tratamento.
O que é espessamento endometrial
Espessamento endometrial é quando a camada interna do útero, chamada endométrio encontra-se maior (mais espessa) do que o esperado.
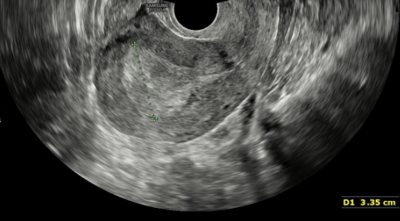
Esta medida é realizada por meio do ultrassom, sendo que a espessura endometrial normal nas mulheres na menopausa é de até 4 mm.
Mulheres que ainda menstruam o aspecto do endométrio no ultrassom é mais importante que a medida da espessura endometrial e, por isso, a avaliação de um especialista é fundamental para se discutir a conduta, diante de sintomas associados ao espessamento endometrial.
O espessamento endometrial não diz qual a causa da doença, apenas que o endométrio está maior que o esperado.
Espessamento endometrial no ultrassom transvaginal
Causas de espessamento endometrial
As principais causas de são:
- Pólipo endometrial;
- Hiperplasia de endométrio;
- Câncer de endométrio;
- Terapia de reposição hormonal somente com estrogênio;
- Uso de tamoxifeno;
- Ciclos anovulatórios próximos da menopausa;
- Síndrome dos ovários policísticos;
- Mioma submucoso;
- Abortamento incompleto;
Espessamento endometrial e câncer
O câncer de endométrio se manifesta na menopausa com sangramento e espessamento do endométrio e, por este motivo, todo sangramento na menopausa deve ser avaliado por meio do ultrassom transvaginal.
Espessura endometrial menor que 4 mm, está associado a atrofia endometrial e emhuma doença está presente na maior parte das vezes.
Na presença de sangramentos recorrentes e espessura endometrial menor que 4 mm, é importante a avaliação de uma especialista.
Sintomas do espessamento endometrial
Pacientes com espessamento endometrial podem apresentar pelo menos um destes três sintomas:
- Sangramento aumentado;
- Irregularidade menstrual;
- Sangramento na menopausa.
É importante destacar que algumas mulheres com espessamento endometrial podem não ter sintomas.
Espessamento endometrial: o que fazer?
Diante de um espessamento endometrial, três fatores principais determinam a conduta:
- Presença de sangramento;
- Intensidade do espessamento;
- Fatores de risco para câncer de endométrio.
Sangramento aumentado ou irregular, com espessamento endometrial no ultrassom, deve-se realizar uma investigação complementar.
A investigação pode ser realizada por meio de histeroscopia, curetagem, ou biópsia endometrial. A decisão pode variar conforme a disponibilidade dos recursos na cidade em que você mora.
Mulheres na menopausa, mas sem sangramento, sem fatores de risco e com espessura endometrial entre 4 e 10 mm, individualiza-se a conduta.
Pacientes com espessamento endometrial maior que 4 mm e com fatores de risco, como obesidade, tabagismo, resistência insulínica, diabetes, hipertensão e síndromes que aumentam o rico de câncer, como as mutações no BRCA 1, BRCA 2 e síndrome de Lynch, é importante a realização de histeroscopia.
Alguns estudos e referências bibliográficas sugerem como valor de corte para determinar espessamento a medida de 5 mm.
Um estudo de metanálise publicado em 2018 demonstrou que a capacidade de detectar o câncer de endométrio com espessura endometrial de 4 mm é de 95% e de quando se usa 5 mm é de 90%.
A FEBRASGO (Federação Brasileira de Ginecologia e Obstetrícia) e o ACOG (Colégio Americano de Ginecologia e Obstetrícia) recomendam como valor de corte 4 mm.
Espessamento Endometrial: tratamentos
O tratamento deve ser realizado de acordo com a doença de base.
Pólipos e miomas devem ser removidos, hiperplasia de endométrio sem atipia é possível a colocação de DIU hormonal e hiperplasia atípica ou câncer de endométrio a histerectomia é o procedimento de escolha.

Dr. Fernando Guastella é cirurgião ginecológico pela USP e especialista em histeroscopia e cirurgias minimamente invasivas.
Agora que você já sabe um pouco sobre espessamento endometrial, agende uma consulta.
Referências bibliográficas
- Parecer do Comitê ACOG Nº 734 Resumo: O papel da ultrassonografia transvaginal na avaliação do endométrio de mulheres com sangramento pós-menopausa. https://pubmed.ncbi.nlm.nih.gov/29683904/;
- Risco de câncer endometrial e hiperplasia endometrial com atipia em mulheres pós-menopáusicas assintomáticas com espessura endometrial ≥11 mm: uma revisão sistemática e metanálise. https://pubmed.ncbi.nlm.nih.gov/30113073/;
- Medição da espessura endometrial para detecção de câncer endometrial em mulheres com sangramento pós-menopausa: uma revisão sistemática e metanálise. https://pubmed.ncbi.nlm.nih.gov/20567183/;
- Medicalnewstoday;
- Hiplerplasia endometrial.
Saiba Mais
Ginecologia:
Endometriose no ligamento uterossacro
Dor no coccix pode ser endometriose
Ginecologista Especialista em Adenomiose
Ginecologista Especialista em Mioma
Tudo sobre endometriose na cicatriz da cesárea
efeitos da pílula anticoncepcional
Miomectomia: tipos de cirurgia e recuperação
Radiofrequência para tratamento dos miomas
Mioma, mioma atípico e sarcoma uterino
histerossonossalpingografia (HyCoSy)
Histeroscopia diagnóstica e cirúrgica
Comparação entre radiofrequência e embolização de miomas
Especialista em Incontinência Urinária Feminina
Câncer ginecológico e Câncer intestinal
Melhores tratamentos para incontinência urinária
Especialista em Incontinência Urinária Feminina
Pólipos endometriais: como deve ser o tratamento
Como fazer o pompoarismo corretamente
Ultrassom: tireoide, mamas, abdome, carótidas.

38 Comentários “Espessamento endometrial: o que é, causas e tratamento”
Tenho 73 anos, estou com espessamento no endométrio, mas não sinto nada, não tenho corrimento e nem sangramento. Estou com muito medo de câncer.
Se vc não tem sintomas e se o espessamento for discreto, a chance de câncer é pequena. Agende uma consulta para discutir o seu caso.
O espessamento meu é de 9 mm, sem sintomas, descoberto num exame de rotina. É necessário fazer a histescopia? Qual risco corro de malignidade?
Boa noite …minha dúvida sobre endométrio espessado. Junto com sangramentos e comum sentir cólicas e dores nas costas?
Você precisa investigar o espessamento endometrial.
Doutor estou usando tibolona a quatro anis e agora apareceupequeno sangramento oque pode ser?
Olá Márcia. Você precisa ser avaliada por um ginecologista e realizar o ultrassom transvaginal, para avaliar se existe espessamento endometrial.
Sou memopausada e apareceu um pequeno sangramento cor de rosa q só da pra notar qdo passo o papel , vou fazer a transvaginal, morrendo de medo de ser câncer. O q pode ser?
Acho fundamental você ser examinada pelo ginecologista e depois você fazer o ultrassom transvaginal. O próximo passo depende do resultado. Na maior parte das vezes é atrofia endometrial e nada precisa ser feito, mas não deixe de investigar.
Tenho 39 anos sou obesa e tenho iperteçao estou com miomas e espeçamento 16mm isso pode ser um cancer?
Provavelmente não é, mas você precisa de uma avaliação mais detalhada.
Tenho 54 anos, no meu exame apresentou um espessamento de 12,1mm, não menstruo a dois anos e não tive nenhum sangramento, porém sinto dores abdominais!! Corro risco?
A partir de 10 mmm, o espessamento endometrial mesmo sem sangramentos ou fatores de risco, deve ser investigado.
Boa noite dr Fernando Guastella . Tenho muito sangramento no exame deu espessamento endometrial 22,5mm poderia me ajudar a entender qual o risco ? Muito obrigada aguardo retorno .
Olá Liliam. Não sei a sua idade, seus fatores de risco para o câncer, além do fato da necessidade de avaliar alguns pontos do seu exame de ultrassom, como o tipo de vascularização. Agende uma consulta.
Dr Fernando eu tenho 46 anos obrigada pela atenção
Boa Noite!Na minha ultrassonografia deu meu endométrio com limites regulares, espessura 0,4 cm.E presença de imagem nodular ecogênica sugestiva de pólipo medindo 0,2 cm.To em pânico.Isso é grave ????? Tenho 55 anos
Não é grave.
Tenho 57 anos e espessamento 6,8 não menstruo e não sinto nada e parei de fumar engordei 20kl estou desesperada dr me ajudem por favor?
Preciso te examinar, ver os seus fatores de risco e refazer o ultrassom, para decidirmos o que fazer.
minha mae tem 76 anos comecou um sangramento,fez transvaginal
o resultado deu: o eco endometrial esta espessado e heterogeneo,medindo 24mm de espessura,pode ser um cancer
conclusao : espessameto endometrial
me responde dr
Agende uma consulta para sua mãe e vá junto para conversarmos.
Meu exame deu espassamento endometrial 16 mm tenho 45 anos corro risco pode ser câncer
Depende do tipo de espessamento, vascularização, sintoma de sangramento, fatores de risco …. agende uma consulta ou teleconsulta para discutir o seu caso
Olá tenho 30 anos fiz uma transvaginal hoje. E deu espessamento endometrial mas não me informaram a medida, estou com sangramento a dois meses e menstruei cedo aos 9 anos. Tem chances de ser um câncer?
Pela sua idade e chance é pequena, porém, é fundamental no laudo constar a espessura endometrial e as características do endométrio.
Olá eu tenho 24 anos e no meu exame deu mioma sobseroso posterior e endométrio regular medindo 1,0 cm. Devo me preocupar?
Faça o seguimento. Mioma é algo comum
Boa tarde Dr Fernando Guastella me chamo Liliam tenho 46 anos fiz histeroscopia diagnóstica e o resultado foi espessura do endométrio 14mm . Diagnóstico Cavidade Uterina Aumentada . Poderia se possível me responder o que o senhor acha . Muito obrigada aguardo retorno !!!!
Dr Fernando
Estou sentindo muitas dores no pé da barriga, lado direito. Fiz a ressonância da pélvica e o resultado deu :
Tecido em manto na região paracervical direita associada a leve espessamento regional da inserção do ligamento ulterossacro podendo ter natureza endometriotica profunda/fibrocatricial leve. Sem componente diferencial ao método.
A minha dor está relacionada a isso ? Ou devo pensar que pode ser intestino ? Mas não sinto prisão de ventre e não estou com intestino preso ../
Pela ressonância você tem endometriose. A dor pélvica é multifatorial. Tente agendar uma consulta
E isso justificaria essa dor e incomodo de todos os dias ?
Muito obrigada
Fiz um ultrassom e foi notificado endométrio espessado medindo 15,0 mm, e utero com dimensões aumentadas com volume de 113,0 cm³ tenho 37 anos , preciso me preocupar?
Depende da fase do ciclo que você fez o exame e da sua queixa clínica. Discuta isso em uma consulta.?
Boa tarde Dr Fernando Guastella Dr eu tenho 56 anos 1 ano e 2 meses sem menstruar em abril tive um pequeno sangramento que só aparecia no papel higiênico fiz transvaginal deu espessamento endometrial de11,3 com suspeita de adenomiose sinto dor no quadril me ajude estou desesperada pode ser cancer Dr obg fico no aguardo
Passe em uma consulta para investigar esse endométrio de maneira mais apropriada.
Meunome é Sueli ,71 anos e minha transvaginal deu endométrio heterogeneo com 15,7mm de espessura. Sou obesa e hipertensa. Não tenho sangramentos e nada sinto. Pode me dar uma resposta que me acalme ?
Olá Sueli. Venha em uma consulta para conversarmos.