Blog

Laser em ginecologia, veja quando e como fazer

ninfoplastia

Laser em Ginecologia. Veja quando e como fazer.

As indicações do laser em ginecologia estão bem estabelecidas e a cada dia identificam-se novas indicações para a sua utilização. O procedimento tem sido chamado de rejuvenescimento íntimo com laser, laser vaginal ou laser íntimo.

 

A síndrome urogenital acomete cerca de 70% das mulheres na menopausa, com intensidade variável.

 

A utilização de hormonioterapia e mais recentemente a utilização do laser, mudou significativamente a resposta aos tratamentos, trazendo grandes benefícios para a vida da mulher.

Sintomas da síndrome urogenital

  • Falta de lubrificação da vagina;
  • Dor durante as relações sexuais;
  • Ardência ou coceira na vagina;
  • Frouxidão vaginal;
  • Dor para urinar;
  • Incontinência urinária leve;
  • Urgência miccional;
  • Pele fina e frágil;

Laser em ginecologia e a lubrificação vaginal

A lubrificação da vagina é determinada por três fatores. Produção de muco pelo colo uterino, produção de fluido pelas glândulas de Bartholin e principalmente por um transudato de líquido produzido pela dilatação dos vasos sanguíneos do tecido conjuntivo da vagina durante o período da excitação.

 

O laser aumenta a quantidade de vasos sanguíneos no local e desta forma durante a excitação ocorre maior lubrificação vaginal.

Laser em ginecologia e o tratamento da flacidez vaginal.

O período pós-parto é um período de pouca produção estrogênica pelo ovário, devido a anovulação causada pela amamentação e pela frequente utilização de progestágenos, por isso, em algumas mulheres a vagina fica mais seca e desta forma, as relações sexuais podem ser incomodas.

Laser em ginecologia e o tratamento da flacidez vulvar após a cirurgia bariátrica

Após cirurgias bariátricas ocorre grande perda ponderal e o tônus vaginal e vulvar pode diminuir. O laser nestas situações facilita o retorno do tônus e da lubrificação da vagina.

Laser e rejuvenescimento íntimo

O tratamento chamado rejuvenescimento íntimo pode se utilizar de diversas técnicas, com objetivos médicos ou estéticos, sendo que o laser apresenta um papel de destaque.

 

Outros métodos que podem ser utilizados para o rejuvenescimento íntimo são:

O corpo humano passa por diversas mudanças ao longo da vida, inclusive, a região vulvar, grandes e pequenos lábios e a vagina, independentemente do status hormonal, como por exemplo, pode ocorrer a flacidez da vulva, com redução da elasticidade de grandes lábios e frouxidão vaginal.

 

O tratamento chamado rejuvenescimento íntimo pode estar ligado a questões fisiológicas, por exemplo a falta de lubrificação, incontinência urinária, dor durante o ato sexual e relaxamento vaginal devido a perda do tônus dessa musculatura.

Laser em ginecologia

rejuvenescimento íntimo com laser

Tipos de Laser

Os dois principais tipos de tipos de laser que podem ser empregados em ginecologia, são o laser Erbium e o laser de CO2.

 

Ambos os tipos de laser são efetivos, porém o laser Erbium é mais versátil, causa menos desconforto durante os procedimentos e menor chance de hiperpigmentação quando comparado com o laser de CO2.

 

O laser Erbium mais conhecido é o FOTONA, considerado o melhor laser para tratamentos ginecológicos, motivo pelo é o laser que eu utilizo no meu consultório.

Mecanismo de ação do Laser

O mecanismo de ação do laser nos tecidos é a formação de pequenas áreas de trauma térmico, com espaçamento entre os feixes e temperatura controlada, determinando a formação de tecido reparativo, induzindo a formação de fibroblastos, que são células produtoras de colágeno e vasos sanguíneos no tecido conjuntivo. 

 

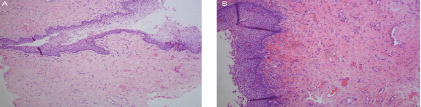
Abaixo está uma imagem de um artigo científico mostrando a histologia do tecido vaginal biopsiado antes e após o tratamento. É possível perceber o aumento da espessura da pele e especialmente do tecido conjuntivo.

laser em ginecologia

Achados histológicos antes (A) e após o tratamento (B), demonstrando aumento da espessura da pele, aumento da vascularização e do colágeno. Imagens do artigo científico publicado por Samuels JB et al, 2019. Resposta terapêutica dos sintomas com o uso de Laser CO2.

Preparo para o exame

  • Depilação entre 3 e 5 dias antes do procedimento;
  • Não estar menstruada;
  • Exame de Papanicolau recente e normal;
  • Profilaxia para herpervírus com medicação, caso tenha história prévia de herpes genital.

Contraindicação para o Laser

  • Gravidez;
  • Usuária de marcapasso.

Orientações após o tratamento:

  • Abstinência sexual de 7 dias;
  • Bepantol® derma (parte externa);
  • Compressa fria com chá de camomila;
  • Associar estrogênio tópico após o procedimento se houver indicação;
  • Realizar pelo menos 3 sessões.

Agora que você já sabe um pouco mais laser em ginecologia, conheça o Dr. Fernando Guastella e agende uma consulta.

Você sabe o que é ginecologia integrativa?

 

Deixe sua pergunta nos comentários.

 

Saiba mais:

Endometriose: endometriose, cirurgia de endometriose, cólica menstrual, tratamento hormonal, tratamentos alternativos, ressonância magnética, sintomas, ultrassom transvaginal, especialista em endometriose e adenomiose.

Ultrassom: tireoide, mamas, abdome, carótidas.

Saúde: corrimento vaginal, laser, carboidratos, fibras, gorduras, vaginismo e coronavírus e gravidez

 

Referências bibliográficas

  1. Tratamento para os lábios externos e canal vaginal com laser de CO2 para sintomas de atrofia vulvovaginal em mulheres na pós-menopausa. Link: https://www.ncbi.nlm.nih.gov/pubmed/29726916;
  2. Tratamento fracionado com laser de CO2 para sintomas de atrofia vulvovaginal e rejuvenescimento vaginal em mulheres na perimenopausa. Link: https://www.ncbi.nlm.nih.gov/pubmed/28894392;
  3. Atrofia vulvovaginal pós-menopausa – uma visão geral das opções de tratamento atuais. Link: https://www.ncbi.nlm.nih.gov/pubmed/29411346;
  4. Tratado de ginecologia FEBRASGO 2019. Editores Cesar Eduardo Fernandes e Marcos Felipe Silva de Sá;
  5. Leituras em inglês: laser em ginecologia, laser vaginal, tipos de laser íntimo.
  6. https://www.acog.org/;
  7. https://nccih.nih.gov.
Share on facebook
Share on twitter
Share on google
Share on whatsapp

Cuide-se.
Tire todas as
suas dúvidas.

3 Comentários “Laser em ginecologia, veja quando e como fazer

Deixe um comentário

O seu endereço de e-mail não será publicado. Campos obrigatórios são marcados com *