Pólipo endometrial: dos sintomas ao tratamento
Neste texto vou explicar o que é pólipo endometrial, sintomas, diagnóstico, risco de malignidade e os tipos de tratamento.
O que é pólipo endometrial
Pólipo endometrial é um tumor benigno que cresce no interior da cavidade uterina, ou seja, no endométrio.
É uma doença muito comum, sendo que 10% das mulheres irão ter algum pólipo ao longo da vida.
Diferença entre pólipo endometrial e pólipo endocervical
O pólipo endometrial ou pólipo uterino é um nódulo formado por tecido endometrial, que responde a estímulos hormonais, principalmente o estrogênio.
Por outro lado, o pólipo endocervical é formato por tecido do canal endocervical e não responde aos estímulos hormonais.
Os pólipos endocervicais podem ser identificados nos exames de ultrassonografia, no exame físico ou na colposcopia.
O risco de malignidade dos pólipos endocervicais é muito menor que dos pólipos endometriais.

Sintomas do pólipo endometrial
Os sintomas do pólipo endometrial são:
- Sangramento aumentado nas menstruações;
- Escape de sangue entre as menstruações;
- Sangramento durante ou logo após a relação sexual;
- Cólica menstrual;
- Infertilidade;
- Espessamento endometrial na menopausa;
- Sangramento na menopausa;
Nem todo pólipo endometrial determina sintomas, algumas vezes podem ser um achado incidental em exames de ultrassonografia.
Fatores de risco para pólipo endometrial
Os fatores de risco para o surgimento dos pólipos são principalmente hormonais, como ciclos anovulatórios e uso de tamoxifeno, porém, muitas vezes não se encontra o motivo do aparecimento do pólipo.
Outros fatores de risco incluem obesidade, hipertensão, diabetes e terapia de reposição hormonal somente com estrogênio.
Diagnóstico
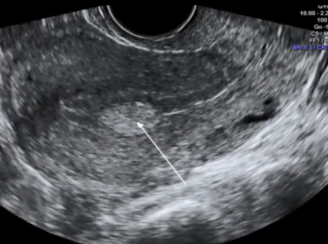
O diagnóstico do pólipo endometrial na maior parte das vezes é realizado por meio do ultrassom transvaginal.
É muito importante para o diagnóstico do pólipo endometrial, que a mulher esteja na primeira fase do ciclo menstrual, ou seja antes da ovulação, pois facilita o diagnóstico pela ultrassonografia.
Os melhores dias para a realização do ultrassom transvaginal para diagnóstico do pólipo é entre o 6° e o 12° dia do ciclo menstrual, lembrando que o primeiro dia da menstruação é o primeiro dia do ciclo.
Quando o exame é realizado após a ovulação, é possível que a ultrassonografia não identifique o pólipo, ou tenha dúvidas quando ao diagnóstico e, nesta situação, deve-se repetir o exame após a menstruação.
O melhor exame para o diagnóstico do pólipo endometrial é a histeroscopia, que consiste na introdução de uma câmera, através do colo uterino.
A histeroscopia pode ser feito ambulatorialmente.
A ressonância magnética, histerossalpingografia e a histerossonossalpingografia são exames que também podem identificar o pólipo endometrial.

Espessamento endometrial
Algumas vezes os exames por imagem podem mostrar somente um espessamento endometrial.
A causa mais comum de espessamento endometrial é o pólipo, porém outras doenças podem se manifestar por espessamento endometrial, como a hiperplasia do endométrio, câncer de endométrio e o mioma submucoso.
Para esclarecer o espessamento endometrial, a histeroscopia ambulatorial deve ser realizada.
Risco de câncer
O risco de um pólipo endometrial ser ou estar associado ao câncer de endométrio depende de alguns fatores.
Na presença de sintomas como o sangramento aumentado em mulheres na menacme ou o sangramento na menopausa o risco de câncer é ao redor de 5%.
Nas pacientes assintomáticas o risco de câncer é ao redor de 1-2%.
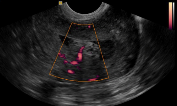
Menopausa, tamanho do pólipo, espessura endometrial, tipo e intensidade de vascularização e a história clínica são fatores que devem ser avaliados e que contribuem para o risco de malignidade.
Pólipo endometrial e infertilidade
Os pólipos endometriais não estão entre as causas mais comuns de infertilidade, sendo controverso a retirada antes de procedimentos de reprodução assistida.
Não há muita dúvida sobre a retirada em mulheres com abortamentos de repetição ou falhas de implantação em procedimento de reprodução assistida.
O que acontece na maior parte das vezes quando se identifica um pólipo e a mulher pretende engravidar, é a retirada cirúrgica, para diminuir a possibilidade de complicações como a falha de implantação e o risco de abortamento, além de excluir a possibilidade de malignidade.
Tratamento para pólipo endometrial
O tratamento para o pólipo endometrial é a retirada por meio de cirurgia.
Nos melhores hospitais de São Paulo, está disponível equipamentos de histeroscopia com diâmetros menores, o que é particularmente importante nas mulheres que estão na menopausa e nas que pretendem engravidar.
A complicação mais frequente da histeroscopia acontece durante a execução da dilatação do colo uterino e, ao se utilizar equipamento mais finos, o risco é minimizado.
Outro ponto fundamental é o uso de energia durante o procedimento. Nas mulheres que estão tentando engravidar o uso de energia sempre que possível deve ser evitado, para diminuir a chance de sinequias no endométrio.
Para a realização da histeroscopia não há cortes nem cicatrizes.
A alta hospitalar acontece no mesmo dia do procedimento e o retorno para as atividades cotidianas pode ser realizado no dia seguinte.
Uma outra possibilidade para o tratamento é a realização da curetagem uterina, mas este procedimento não é mais realizado em grandes centros, devido a superioridade da histeroscopia.

Pólipo ou mioma submucoso
Quando o ultrassom identifica um nódulo dentro do endométrio, as duas principais possibilidades são o pólipo endometrial e mioma submucoso.
O mioma submucoso é um mioma que fica no interior do endométrio e pode ser semelhante ao pólipo.
O tratamento tanto para o pólipo como para o mioma é a retirada por histeroscopia, já que os sintomas são os mesmos, mas geralmente com maior sangramento nos casos de mioma.
Pólipo é um nódulo macio, composto de tecido endometrial, enquanto o mioma é um nódulo duro, composto do músculo uterino, o miométrio.
Remédio para pólipo
Não existe nenhum tipo de tratamento medicamentoso que consiga eliminar o pólipo endometrial.
Dr. Fernando Guastella é cirurgião ginecológico pela USP e especialista em cirurgias minimamente invasivas, como a histeroscopia para a retirada de pólipos e miomas.
Agora que você já sabe um pouco mais sobre pólipo endometrial, conheça o Dr. Fernando Guastella e agende uma consulta.
Referências bibliográficas
- O risco de malignidade em pólipos uterinos: uma revisão sistemática e metanálise. https://pubmed.ncbi.nlm.nih.gov/31009859/.
- Pólipo endometrial. https://pubmed.ncbi.nlm.nih.gov/32491756/;
- Papel dos hormônios em lesões uterinas benignas comuns: pólipos endometriais, leiomiomas e adenomiose. https://pubmed.ncbi.nlm.nih.gov/32406027/;
- Pólipos endometriais: patogênese, sequelas e tratamento. https://pubmed.ncbi.nlm.nih.gov/31105939/;
- Mayoclinic.org;
- Wikipedia;
- Clevelandclinic.org.
Saiba Mais
Ginecologia:
Endometriose no ligamento uterossacro
Dor no coccix pode ser endometriose
Ginecologista Especialista em Adenomiose
Ginecologista Especialista em Mioma
Tudo sobre endometriose na cicatriz da cesárea
efeitos da pílula anticoncepcional
Miomectomia: tipos de cirurgia e recuperação
Radiofrequência para tratamento dos miomas
Mioma, mioma atípico e sarcoma uterino
histerossonossalpingografia (HyCoSy)
Histeroscopia diagnóstica e cirúrgica
Comparação entre radiofrequência e embolização de miomas
Especialista em Incontinência Urinária Feminina
Câncer ginecológico e Câncer intestinal
Melhores tratamentos para incontinência urinária
Especialista em Incontinência Urinária Feminina
Pólipos endometriais: como deve ser o tratamento
Como fazer o pompoarismo corretamente
Ultrassom: tireoide, mamas, abdome, carótidas.

4 Comentários “Pólipo endometrial: dos sintomas ao tratamento”
Boa noite
Com p tempo o polipo endometrial pode virar um cáncer?
O risco do pólipo ser maligno é muito baixo, mas não é zero. Se você tiver sintomas como sangramento, discuta retirar o pólipo.
Matéria super interessante, descobri recentemente que tenho Pólipo endometrial. Tenho um fluxo super intenso, acompanhando de cólicas fortíssimas (impossibilitando inclusive de sair de casa), diarréia, dores nos membros inferiores e ânsia de vômito.
Espero que pelo menos o fluxo e a cólica desapareça após a cirurgia. Parabéns pela matéria esclarecedora.
Obrigado.