Ressonância magnética para endometriose
A ressonância magnética da pelve é um exame muito solicitado para o diagnóstico e estadiamento das mulheres com suspeita de endometriose. Neste texto vou falar sobre a capacidade diagnóstica da ressonância magnética nos diferentes tipos de endometriose, além do preparo para o exame.
Classificação da endometriose
A endometriose pode ser classificada em: superficial, ovariana e profunda, porém existem focos de endometriose localizados em outros locais além da pelve, como na cicatriz da cesárea, região umbilical e diafragma.
Para a detecção dos focos de endometriose fora da pelve, é fundamental que na solicitação do exame, seja incluída a avaliação do abdome, pois do contrário, o exame é realizado somente na pelve, e, portanto, os focos de endometriose localizados fora da pelve não são diagnosticados.
Ressonância magnética e endometriose Ovariana
A endometriose ovariana se manifesta na forma de cistos com conteúdo de sangue, ocasionado pelos focos de endometriose no ovário, sendo chamados de endometriomas.
A ressonância magnética da pelve é um método excelente para avaliação dos endometriomas, com sensibilidade e especificidade acima de 95%. Um radiologista experiente consegue diagnosticar corretamente a maior parte dos endometriomas maiores que 1 cm.
Erros de interpretação são infrequentes, mas podem acontecer, especialmente na diferenciação entre um corpo lúteo (cisto de ovulação) e um endometrioma, pois ambos apresentam um conteúdo composto de sangue.
O conteúdo do endometrioma é um sangramento mais antigo e a hemoglobina presente no interior do cisto está mais degradada, gerando um sinal um pouco diferente do endometrioma em uma das sequências na ressonância magnética.
Em raras situações, endometriomas podem evoluir para tumores malignos, sendo os tipos mais comuns o carcinoma de células claras e o carcinoma endometrióide.
A diferenciação entre um endometriomas e os tumores malignos pode ser feita na maior parte das vezes, tanto pela ressonância magnética, como pelo ultrassom transvaginal, pois os tumores apresentam áreas sólidas com vascularização em seu interior (papilas vascularizadas).
Na suspeita de malignidade em um endometrioma é importante a utilização do contraste endovenoso na ressonância magnética e na ultrassonografia utiliza-se o Doppler para detectar a vascularização.

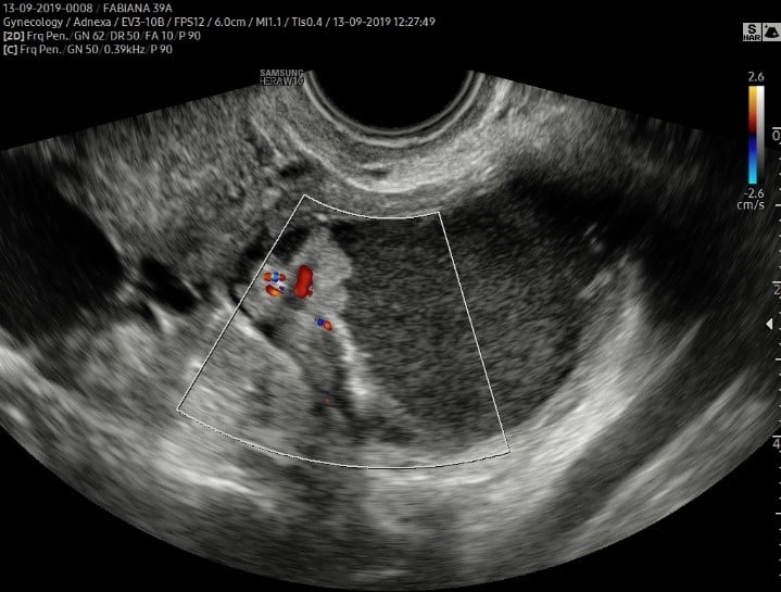
Imagem de ultrassom transvaginal com preparo intestinal. Observa-se endometrioma com papila vascularizada, o que pode corresponder a uma transformação maligna de um endometrioma.

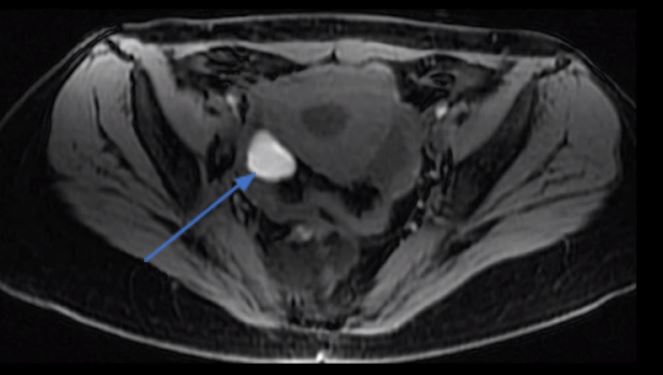
Ressonância magnética para endometriose demonstrando um endometrioma no ovário direito (seta azul).
Ressonância magnética para endometriose profunda
A ressonância magnética consegue detectar apenas os focos de endometriose profunda, já que as lesões superficiais apresentam menos de 1 mm de invasão do peritônio e, portanto, não são identificadas pelos exames de imagem.
Os locais mais frequentemente acometidos pela endometriose profunda são em ordem decrescente: região retrocervical (atrás do colo uterino), incluindo o ligamento uterossacro, intestino, vagina e bexiga.
A maior dificuldade da ressonância magnética para endometriose é a identificação de lesões de pequenas dimensões no peritônio e lesões intestinais pequenas.
Nestas situações a ultrassonografia transvaginal com preparo intestinal, por ter ter maior resolução espacial, será o exame de escolha.
Quando as lesões de endometriose, por outro lado, estão distantes do transdutor de ultrassonografia, a ressonância magnética é melhor que a ultrassonografia transvaginal para o diagnóstico da endometriose.
Informações importantes em todo exame de ressonância magnética ou ultrassonografia com preparo intestinal é a identificação de todos os focos de endometriose com as respectivas medidas para o planejamento de uma eventual cirurgia ou para comparar as medidas entre os exames e avaliar a resposta ao tratamento hormonal ou dos tratamentos alternativos.
As lesões de endometriose no intestino devem ser caracterizadas em três planos distintos, com porcentagem da circunferência acometida, camadas acometidas e distância da borda anal.

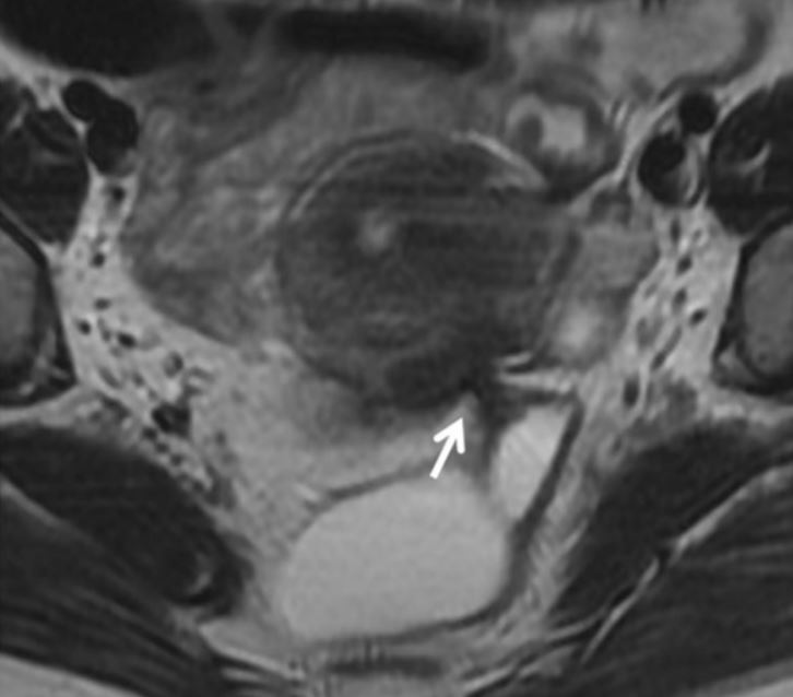
Endometriose profunda entre o útero e o reto, assinalada na seta branca. Imagem de ressonância magnética para endometriose. Mais imagens e informações podem ser obtidas neste artigo científico. https://www.ncbi.nlm.nih.gov/pubmed/29450853
Qual exame é melhor para a pesquisa de endometriose, ressonância magnética ou ultrassonografia transvaginal com preparo intestinal?
Ambos os exames apresentam elevada acurácia na pesquisa da endometriose. A vantagem da ressonância magnética é na avaliação de pequenos endometriomas, especialmente quando muito distantes do transdutor transvaginal, em mulheres com útero de grandes dimensões e na avaliação da endometriose no diafragma.
Outra vantagem da ressonância magnética em relação ao ultrassom, é a possibilidade de um novo laudo, fornecido por outro radiologista, o que não pode ser feito no caso do ultrassom, pelo fato de ser um exame dinâmico e depender exclusivamente das imagens obtidas pelo médico no momento do exame.
A vantagem do ultrassom transvaginal com preparo intestinal é a identificação de endometriose de pequenas dimensões, avaliação da endometriose intestinal e na identificação de aderências, por ser um método dinâmico.
Em abril de 2019 uma publicação cientifica demonstrou que a utilização simultânea dos dois exames na avaliação da pesquisa de endometriose pode gerar uma acuraria próxima de 100% para o diagnóstico. Clique no link para ir até a publicação científica https://www.ncbi.nlm.nih.gov/pubmed/30964888
Como a ressonância magnética para endometriose é realizada
A ressonância magnética consegue avaliar a pelve em múltiplos planos, com excelente resolução anatômica e espacial.
Existem diferentes protocolos que o laboratório pode adotar para a realização do exame, dependendo do tipo de equipamento de ressonância magnética e da indicação do exame.
O exame na maior parte das vezes é realizado em até 20 minutos e costuma ser bem tolerado pelas mulheres, sendo o inconveniente mais comum é a sensação de claustrofobia.
Para mulheres que não conseguem fazer o exame pela sensação de claustrofobia, é possível fazer o exame sob sedação.
As contraindicações as mais comuns incluem pessoas que usam marcapasso ou outros dispositivos metálicos, especialmente os mais antigos, pouco comum em mulheres com suspeita de endometriose pela faixa etária mais jovem em que se encontram.
Preparo para ressonância magnética da pelve para endometriose:
- Dieta pobre em resíduos nas 24 horas que antecedem o exame;
- Preparo intestinal utilizando laxativos via oral na véspera;
- Utilização de gel de ultrassom no interior da vagina, para avaliar se há acometimento da parede posterior da vagina (em pacientes virgens não é utilizado);
- Utilização de antiespasmódicos endovenosos como o Buscopan®, para diminuir o movimento das alças intestinais, pois qualquer movimento gera artefatos na imagem, o que atrapalha a interpretação do exame.
- O Buscopan® diminui também as contrações uterinas fisiológicas, que poderiam de outra forma, mimetizar doenças uterinas, como por exemplo a adenomiose.
O contraste endovenoso não influencia a capacidade da ressonância magnética em identificar a endometriose, sendo a sua utilização restrita para avaliação de lesões uterinas e ovarianas suspeitas para câncer e para avaliação de endometriomas com superfície interna irregular devido a áreas sólidas (papilas) ou coágulos.
Espessamento do ligamento uterossacro na ressonância magnética
O espessamento do ligamento uterossacro na ressonância magnética é um termo utilizado pelo radiologista para descrever uma suspeita de endometriose.
É importante destacar que a assimetria dos ligamentos uterossacro, é um achado que pode ser fisiológico, assim como as assimetrias em outras partes do nosso corpo.
Nesta situação o toque vaginal e o ultrassom transvaginal com preparo intestinal são as melhores opções para esclarecimento diagnóstico.
Pelo toque vaginal é possível perceber o ligamento uterossacro irregular, endurecido, além de doloroso, diferentemente de quando o ligamento uterossacro está normal.
Na ultrassonografia transvaginal com preparo intestinal é possível identificar claramente se o ligamento uterossacro está ou não acometido por endometriose, desde que o médico ultrassonografista tenha experiencia com endometriose.

Agora que você já sabe um pouco mais sobre a ressonância magnética para endometriose, conheça o Dr. Fernando Guastella, ginecologista especialista em endometriose e, se precisar, agende uma consulta.
Você sabe o que é Ginecologia Integrativa?
Deixe sua pergunta nos comentários.
Saiba mais:
Endometriose: endometriose, cirurgia de endometriose, cólica menstrual, tratamento hormonal, tratamentos alternativos, sintomas, especialista em endometriose e adenomiose.
Ultrassom: tireoide, mamas, abdome, carótidas.
Saúde: corrimento vaginal, laser, carboidratos, fibras, gorduras, pompoarismo, vaginismo, coronavírus e gravidez.
Referências bibliográficas:
- Ultrassonografia transvaginal vs ressonância magnética para diagnóstico de endometriose profunda: revisão sistemática e metanálise. https://pubmed.ncbi.nlm.nih.gov/29154402/;
- Ressonância Magnética na Endometriose Pélvica. https://pubmed.ncbi.nlm.nih.gov/28476282/;
- Acurácia diagnóstica da ressonância magnética, ultrassonografia transvaginal e transretal na endometriose profunda infiltrativa. https://pubmed.ncbi.nlm.nih.gov/29465552/;
- Endometriose com infiltração profunda: papel da imagem por subtração por ressonância magnética. https://pubmed.ncbi.nlm.nih.gov/30211039/;
- Acurácia do ultrassom transvaginal versus ressonância magnética no diagnóstico da endometriose retossigmóide: revisão sistemática e metanálise. https://www.ncbi.nlm.nih.gov/pubmed/30964888;
- Imagem por RM da Endometriose: Espectro de Doença. https://pubmed.ncbi.nlm.nih.gov/28652096/.
Site em inglês sobre ressonância magnética para endometriose
8 Comentários “Ressonância magnética para Endometriose”
Parabéns! Bastante esclarecedor, fiquei surpresa qto a possibilidade e incidência de endometriose no diafragma,; fiz recente a ressonância pélvica que acusou focos no reto ( parede posterior) e liomioma intramural fundo corporal anterior, mas o médico não solicitou a abdominal, estarei verificando isto com ele, pois sinto muito volume e enrijecimento nesta região do dafragma no período pre menstrual. Minha barriga está muito dilatada e a na região da pelve uma barriga horrível!!! Obgda
Que bom que gostou do texto. Espero que no seu exame não tenha endometriose no diafragma.?
Muito bom e esclarecedor todo o texto. Bem informativo e abrangente sobre quem têm o diagnóstico “por cima” mas quer realmente descobrir o que se trata! Desde meus 11 anos eu tenho dores que me faziam ficar de cama e sempre falaram que era frescura, que é porquê eu tenho que ser forte… mulher sofre mesmo. Esse tipo de comentário! Minha última internação eu ouvi da médica para procurar sim um ginecologista para avaliar, já que meu caso é muito parecido mesmo, podendo ser! Obrigada pela explicação mais detalhada e simplificada.
Obrigado
Bom dia Dr. Fernando Guastella minha namorada tem cólicas muito fortes no ciclo de menstruação ao ponto de desmaiar você acha que pode ser Endometriose ?
Desde já agradeço .
Sim, pode ser endometriose. Peça para ela agendar uma consulta com um especialista.
Obrigada pelo texto esclarecedor. É muito importante a divulgação pois é muito sofrimento e infelizmente quando relatamos as dores são consideradas como dengo e que é um exagero. Muito desamparada pelo setor publico que não possui muitos locais e a espera é longa nos hospitais de referencia, e exames e consultas com especialistas no particular tem alto custo. Sinto muitas dores mesmo tomando diogeneste.
Obrigada pelo texto! Logo vou fazer essa ressonância e agora me tranquilizei em saber que o exame é tranquilo. Pena que muitas mulheres como eu sofrem ha anos de cólicas intensas e já ouviram tantos comentários até mesmo de médicos de que cólica é uma coisa normal. Que Deus te abençoe e você sempre possa estar dedicado a cuidar das mulheres com esse olhar, pois faz toda diferença!