Blog

Sintomas de endometriose e como diagnosticar

Sintomas da Endometriose

Sintomas de endometriose

Os sintomas de endometriose podem ser diferentes de uma mulher para outra e, embora a queixa mais comum seja a cólica menstrual, algumas mulheres podem não sentir dor.

Este texto explica todos os sintomas que a endometriose pode causar e como fazer o diagnóstico

O que é endometriose

Endometriose é caracterizada pela presença tecido endometrial fora do útero, uma doença comum, acometendo 1 em cada 10 mulheres.

O endométrio é a parte mais interna do útero, sendo que durante o ciclo menstrual sofre modificações para receber o bebê e quando a gestação não acontece, o endométrio se desprende e saí com a menstruação.

A endometriose acomete mulheres no período reprodutivo, ou seja, durante o período em que as menstruações acontecem, regredindo na menopausa na maior parte das mulheres.

Endometriose umbilical

Tipos de endometriose

A endometriose pode ter diferentes apresentações, mas é basicamente dividida em 3 tipos:

  • Superficial;
  • Profunda;
  • Ovariana.

Endometriose superficial

A doença superficial acontece quando as células da endometriose invadem o peritônio em menos de 1 mm, sendo a forma mais comum da doença, representando cerca de 90% das endometrioses.

É frequentemente encontrada em cirurgias por outros motivos, como por exemplo a laqueadura tubária, e por este motivo, acredita-se que a endometriose superficial não determina sintomas na maior parte das mulheres.

Endometriose profunda

A endometriose profunda é definida quando os implantes de endometriose invadem o peritônio em mais de 5 mm ou quando acometem outros órgãos, como o intestino e a bexiga.

Cerca de 10% das mulheres com endometriose apresentam a doença de maneira profunda, sendo a forma que mais determina sintomas.

Endometriose ovariana

Endometriose no ovário

A endometriose no ovário é definida pela presença de um cisto, que contém sangue em seu interior, chamado endometrioma.

A sangue do endometrioma é proveniente dos focos de endometriose contidos no ovário.

Quase sempre a endometriose no ovário é acompanhada por outros focos de endometriose superficial e profunda.

Endometriose no intestino

Os principais sintomas de endometriose são:

  • Cólica no período menstrual de forte intensidade.
  • Dor na profundidade durante as relações sexuais;
  • Diarreia, constipação ou dor para evacuar, durante o período menstrual;
  • Dor para urinar durante o período menstrual;
  • Aparecimento de nódulo associado a dor cíclica na cicatriz da cesárea (endometriose de parede abdominal);
  • Saída de secreção, sangue ou dor umbilical (endometriose umbilical);
  • Dor no ombro direito durante a menstruação (endometriose no diafragma);
  • Infertilidade, independentemente de sintomas dolorosos;
  • Distensão abdominal;
  • Fadiga crônica;

Cólica menstrual e endometriose

A cólica menstrual é o sintoma mais comum da endometriose.

Nas consultas o relato mais comum é o aparecimento da cólica em uma mulher que nunca apresentou dor.

Outra queixa frequente é a pessoa que sempre teve cólica, mas de repente a cólica ficou forte.

É importante destacar que sempre que uma mulher apresentar cólica, especialmente de forte intensidade a investigação do motivo é obrigatória.

É preciso acabar com a crença popular de que cólica é normal.

Com a evolução da endometriose a dor pode deixar de ser cíclica e acontecer de forma contínua, piorando nas menstruações.

A endometriose localizada na região retrocervical (atrás do colo uterino) e na vagina são as mais frequentemente relacionadas com a cólica menstrual e a dor durante as relações sexuais.

O diagnóstico diferencial mais importante da endometriose é com a adenomiose, pois ambas as doenças determinam cólicas e, portanto, a idade do início dos sintomas traz informações importantes.

Raramente a endometriose surge em mulheres com mais de 40 anos. 

Cólica menstrual que surge a partir de 40 anos, a principal causa é adenomiose.

Os exames por imagem são fundamentais para diferenciar as duas situações, que podem existir conjuntamente em cerca de 15% das vezes.

A endometriose é um fator de risco para o desenvolvimento da adenomiose no futuro.

Dor Durante a relação sexual

A dor durante a relação sexual nas mulheres com endometriose acontece principalmente na profundidade, sendo que a dor durante a relação sexual na entrada da vagina, está mais relacionada com outra condição clínica, chamada de vaginismo.

Mulheres com endometriose e dor na profundidade podem com muita frequência desenvolver o vaginismo, como um mecanismo de defesa do organismo.

O tratamento do vaginismo nas mulheres com endometriose apresenta-se mais efetiva, depois que a dor profunda causada pela  endometriose é tratada.

Os tratamentos clínicos para a dispareunia (dor na profundidade) não costumam trazer um alívio significativo e a cirurgia nesta situação, acaba sendo mais resolutiva.

Após a resolução da dor profunda, a fisioterapia pélvica, os exercícios de dessensibilização e técnicas de pompoarismo podem ser empregadas com maior sucesso.

Vaginismo

Sintomas de endometriose no intestino

O sintoma mais típico de endometriose no intestino é a dor para evacuar durante o período menstrual, embora algumas mulheres refiram também diarreia ou constipação na menstruação.

É importante destacar que é comum soltar um pouco o intestino durante as menstruações, sendo que a suspeita clínica acontece quando os sintomas intestinais nunca existiram e em algum momento da vida apareceram.

A endometriose no apêndice não costuma determinar sintoma e a importância do diagnóstico reside no fato da associação com tumor de apêndice.

O tumor mais comum de apêndice é o tumor carcinoide, e como não é possível diferenciar as doenças utilizando o ultrassom ou a ressonância magnética, deve-se retirar o apêndice quando acometido por endometriose.

A endometriose no intestino delgado (intestino fino) geralmente acomete o íleo, e os sintomas de endometriose são quadros de obstrução intestinal durante o período menstrual, ou seja, náuseas, vômitos, parada de eliminação de gases e fezes e distensão abdominal.

Quase todas as lesões de endometriose no intestino grosso, ou seja, no reto e sigmoide, apresentam-se aderidas em focos de endometriose localizados na região retrocervical e nos ligamentos uterossacros e, portanto, os sintomas de cólica e dor na relação sexual frequentemente estão presentes.

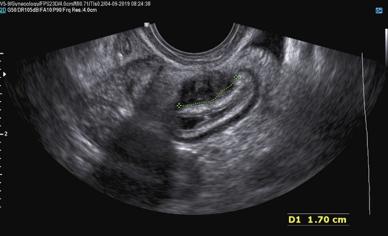
sintomas de endometriose

Imagem de ultrassom transvaginal com preparo intestinal de uma lesão de endometriose localizada no intestino grosso (reto), medindo 1,7 cm no diâmetro transverso.

Sintomas de endometriose na bexiga

O sintoma mais característico de endometriose na bexiga é a dor para urinar durante o a menstruação, o que faz com que muitas mulheres acreditarem que estão com infecção urinária, pois os sintomas são os mesmos (dor e aumento da frequência urinária).

Apresentar um ou dois episódios de infecção urinária durante a menstruação pode acontecer, mas se todo mês estes sintomas surgem na menstruação, deve-se considerar a endometriose na bexiga como o principal diagnóstico.

Outras queixas incluem aumento da frequência urinária e saída de sangue pela urina.

Entre 6% e 10% das mulheres com endometriose profunda apresentam lesões na bexiga e a associação com endometriose no ligamento uterossacro, vagina e intestino é superior a 70%.

Portanto, a mulher com endometriose na bexiga quase sempre tem também sintomas como cólica, dor na relação sexual e outros sintomas de endometriose.

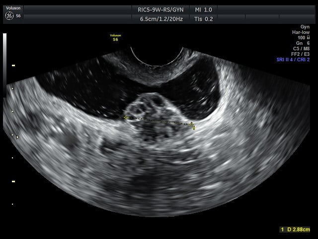
sintomas de endometriose

Endometriose na bexiga, com 2,88 cm de extensão, identificada no exame de ultrassonografia transvaginal.

Dor na parede abdominal

A endometriose da parede abdominal pode acontecer na cicatriz da cesárea, região umbilical ou na região inguinal e são tipos diferentes de endometriose.

A mulher com endometriose na cicatriz da cesárea geralmente não possui outros focos da doença na pelve, enquanto que na endometriose umbilical é um achado mais comum.

Na endometriose umbilical, não é preciso ter cirurgia prévia no umbigo, motivo pelo qual esta endometriose também é chamada de endometriose cutânea.

Os sintomas de endometriose na parede abdominal são típicos e incluem uma dor muito bem definida, juntamente com o aparecimento de um “caroço” ou nódulo no local da dor.

Na endometriose na cicatriz da cesárea geralmente a dor e o nódulo surgem cerca de 2 anos e meio após a cesárea, na região lateral da cicatriz.

Na endometriose umbilical observa-se um nódulo marrom ou arroxeado e que pode sangrar ou sair alguma secreção durante as menstruações. Cerca de 26% das vezes encontra-se endometriose profunda na pelve associada. 

Sintomas de endometriose

Sintomas de endometriose. Exemplos de endometriose umbilical no exame físico

Na maior parte das mulheres com endometriose localizada na cicatriz da cesárea, não existe endometriose profunda associada na pelve.

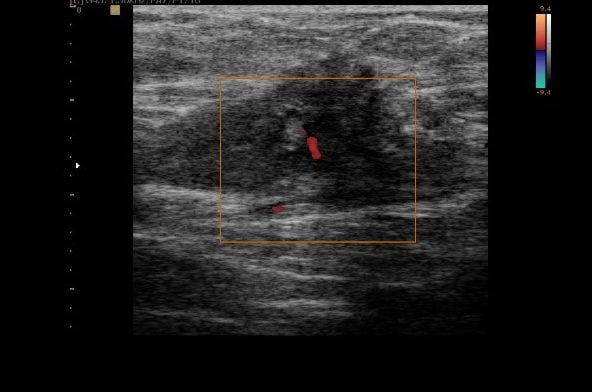
dor na cicatriz da cesárea

Endometriose na cicatriz da cesárea, identificada em um exame de ultrassonografia. Identifica-se na imagem um nódulo escuro e pouco vascularizado.

Sintomas de endometriose torácica

A endometriose torácica acontece quando os focos de endometriose acometem o diafragma (músculo que separa o tórax do abdome), a pleura (membrana que reveste o pulmão) ou o pulmão.

É um local incomum de endometriose, acometendo cerca de 1,5% das mulheres com endometriose profunda.

O local mais comum da endometriose torácica é no diafragma direito e um dos sintomas típicos é a dor no ombro direito durante o período menstrual, já que o diafragma recebe inervação de fibras nervosas que também inervam o ombro e a escápula.

Outra manifestação clínica pode ser uma falta de ar súbita, que surge mais frequentemente no período menstrual, causada por uma ruptura da pleura, a membrana que envolve o pulmão, chamado de pneumotórax espontâneo.

O pneumotórax espontâneo é a manifestação clínica mais comum da endometriose torácica, e quando acontece 24 antes do início da menstruação, até 3 dias após o término das menstruação, é chamado de  pneumotórax catamenial.

O diafragma esquerdo raramente encontra-se acometido, já que o sentido do sangue menstrual dentro da barriga é em direção ao diafragma direto, fato que corrobora a teoria da menstruação retrógrada como fator anatômico.

Infertilidade e endometriose

Cerca de 30-50% das mulheres com endometriose apresentam infertilidade, sendo às vezes, a única manifestação clínica da doença.

A intensidade da endometriose profunda não está necessariamente relacionada com a intensidade da dor, e mesmo mulheres com muita doença podem ser assintomáticas.

Os mecanismos relacionados com a infertilidade são principalmente as obstruções das trompas pelos focos de endometriose e o processo inflamatório causado na pelve, dificultado a implantação do bebê no útero.

É importante destacar a infertilidade é sempre do casal, e as causas podem ser masculinas em 40%, femininas em 40% e em cerca de 20% não se encontra um motivo, ou seja, a infertilidade sem causa aparente.

Toda mulher tem menos de 35 anos e não consegue engravidar após 1 ano, deve incluir na investigação a pesquisa da endometriose, independentemente dos sintomas de dor estarem ou não presentes.

Casais em que a mulher tem mais de 35 anos, aconselha-se a investigar causas de infertilidade após 6 meses de tentativa, para não perder tempo no tratamento, caso haja necessidade.

A investigação da infertilidade do casal deve acontecer simultaneamente no homem e na mulher.

Sintomas de endometriose profunda

Outros sintomas de endometriose

Dor que irradia para a perna pode significar endometriose no nervo ciático, algo difícil de ser diagnosticado pelo exame físico e ultrassom transvaginal, mas possível de ser identificado pela ressonância magnética.

A endometriose pode determinar outros sintomas na mulher, incluindo a distensão abdominal, fadiga crônica, insônia e maior chance de depressão.

Como diagnosticar a endometriose

A endometriose pode ser diagnosticada através do exame físico do ginecologista especialista em endometriose em cerca de 70% das vezes.

Embora o exame físico permita o diagnóstico das formas mais comuns da doença, é insuficiente para o entendimento completo dos focos de endometriose e, portanto, os exames de imagem possuem um papel fundamental.

Os melhores exames para o diagnóstico da endometriose são a ultrassonografia transvaginal com preparo intestinal e a ressonância magnética da pelve.

Exames realizados por médicos especialistas em endometriose, conseguem detectar cerca de 90-95% das lesões.

Existem algumas vantagens para o ultrassom transvaginal com preparo intestinal, como pequenas lesões no intestino e outras vantagens para a ressonância magnética, como a endometriose no diafragma ou a endometriose em nervos.

Um estudo científico publicado recentemente mostrou que quando ambos os exames são realizados, as taxas de detecção de todos os focos de endometriose são de praticamente 100%. Link para estudo.

Tratamento da endometriose

O tratamento deve ser voltado para melhorar a qualidade de vida e resolução dos sintomas.

Nas mulheres com sintomas o tratamento pode ser feito com:

O tratamento da endometriose deve ser feito de maneira individual, focado nos sintomas, após orientação de todas as formas terapêuticas.

Fernando Guastella especialista nos sintomas da endometriose

Agora que você já sabe um pouco mais sobre os sintomas da endometriose, conheça o Dr. Fernando Guastella, especialista em endometriose e, se precisar, agende uma consulta.

Dr. Fernando Guastella, CRM 112.601 SP – Ginecologista pela USP e especialista no diagnóstico e tratamento da endometriose.

 

Deixe sua pergunta nos comentários.

 

Saiba mais:

Saúde: corrimento vaginal, rejuvenescimento íntimo, carboidratos, fibras e gorduras.

 

Referências bibliográficas

  1. Pesquisa Nacional de Endometriose Umbilical no Japão. https://www.ncbi.nlm.nih.gov/pubmed/30965115;
  2. Endometriose de cicatriz de cesariana: apresentação de 198 casos e revisão de literatura. https://www.ncbi.nlm.nih.gov/pubmed/30658623;
  3. Endometriose pélvica profunda intiltrativa: histologia e significado clínico. https://www.ncbi.nlm.nih.gov/pubmed/2140994;
  4. Características clínicas do pneumotórax relacionado à endometriose torácica catamenial e não catamenial. https://pubmed.ncbi.nlm.nih.gov/26306694/;
  5. Acurácia do ultrassom transvaginal versus ressonância magnética no diagnóstico da endometriose retossigmóide: revisão sistemática e metanálise. https://www.ncbi.nlm.nih.gov/pubmed/30964888;
  6. https://www.acog.org/.
Share on facebook
Share on twitter
Share on google
Share on whatsapp

Cuide-se.
Tire todas as
suas dúvidas.

28 Comentários “Sintomas de endometriose e como diagnosticar

    1. Muito pouco provável. Veja se não é uma endometriose na cicatriz da episiotomia ou uma inflamação na glândula. É preciso examinar para esclarecer.

    1. Pode ser endometriose. Faça uma consulta com um especialista. É importante examinar e avaliar melhor os seus sintomas de endometriose. Na sequência você precisa fazer um exame especializado.

    1. Um dos sintomas de endometriose no intestino é a dor retal durante o período menstrual. Não é grave, mas precisa de diagnóstico e tratamento.

  1. Olá, fui ao médico e na ultra ele viu 2 manchas nos ovários uma mancha em cada ,ppde ser endomentriose ,é ele disse que tenho que tira os ovarios mais eu quero ter filho o que eu faço??

  2. Bom dia doutor. A retirada do útero pode me deixar livre da endrometriose.pois tenho endrometriose, mas não dou ser do combo anticoncepcional para fazer o tratamento passo muito mal.

  3. Tenho adenomiose, endometrioma (e endometriose). A cada ano as dores menstruais ficam piores e insuportáveis. Já foi detectado sangue na urina. Estou tomando anticoncepcional, mas, nos escapes, as dores continuam. Tenho 37 anos. É possível que muitos órgãos sejam acometidos antes da menopausa?

    1. Veja com seu ginecologista se não existe alguma alteração no colo uterino ou endométrio. Do contrário, pode ser somente devido a atrofia endometrial, se vc estiver tomando medicamentos de uso contínuo.

  4. Olá bom dia me chamo Renata tenho 22 anos moro em Sorocaba SP… E a dois dias sinto essas dores inferiores na barriga depois de uma transa… Seria bom eu já ir ao médico para saber o que eu tenho?

  5. Boa noite Dr. Me chamo Luana e fiz uma ressonância do abdomen e da pelve a pedido da coloproctologista. Quando viu o laudo, ela me encaminhou para a ginecologista devido a uma parte do exame que fala sobre endometriose. Eu fiquei muito assustada mas só consegui consulta com a ginecologista para o meio de março. O exame diz assim: “Discreto espessamento do ligamento redondo esquerdo, com pequeno foco de sangramento de permeio, apresentando extensão ao ovário esquerdo, podendo corresponder a endometriose ligamentar”. Isso caracteriza endometriose oi é apenas suspeita? O que seria esse foco de sangramento de permeio? Fiz uma ultrassonografia transvaginal no início do ano e estava tudo normal. Estou muito preocupada pois estou sentindo cólicas fora do período menstrual. Se puder me orientar, ficarei muito grata!!

  6. Olá tudo bem no meu período menstrual sinto muitas dores quando vou defeca e urinar e as vezes tenho dor na relação fico com uma sensação de peso no ânus gostaria de saber se pode ser endometriose obrigada pela atenção

Deixe um comentário

O seu endereço de e-mail não será publicado. Campos obrigatórios são marcados com *