Blog

Ultrassom da Tireoide: o que tem de novo?

Ultrassonografia da região cervical

Ultrassom da Tireoide

O ultrassom da tireoide é o melhor exame de imagem para o estudo anatômico da glândula, sendo inclusive superior a ressonância magnética ou tomografia.

 

A tireoide é uma glândula localizada na região anterior do pescoço, produz alguns hormônios, os mais conhecidos são o T3 e T4 e quando acometidas por processos autoimunes podem ter a sua função aumentada, causando o hipertireoidismo ou a sua função diminuída, causando o hipotireoidismo, mais comum que o primeiro.

 

Outras alterações comuns na tireoide são os nódulos e cerca de 60 a 68% das pessoas apresentarão pelo menos um nódulo de tireoide ao longo da vida.

 

O ultrassom da tireoide é o melhor exame para a avaliação dos nódulos na tireoide.

 

Câncer de tireoide

O câncer de tireoide, embora comum, pois representa o quinto tumor maligno mais comum na mulher, geralmente apresenta um bom prognóstico, com taxas de cura ao redor de 95%.

 

Os tumores malignos da tireoide apresentam-se como nódulos na tireoide e, portanto, é fundamental uma metodologia de avaliação que permita diferenciar os nódulos benignos dos nódulos malignos.

 

Ultrassom da tireoide
Na tabela acima encontra-se a estimativa dos 10 tumores malignos mais comuns no homem e na mulher de acordo com o INCA para 2020, exceto pele não melanoma.

 

Os nódulos são benignos na maioria das vezes e as características de malignidade já estão bem estabelecidas e devem ser avaliadas sempre por um exame de ultrassom da tireoide.

Ultrassom da tireoide

Recentemente o Colégio Americano de Radiologia (ACR) publicou diversos artigos científicos para a avaliação e conduta diante de nódulos da tireoide, o chamado Thyroid Imaging, Reporting and Data System (TI-RADS).

Quando se compara o TI-RADS com as recomendações da Sociedade Brasileira de Endocrinologia, é possível perceber que são realizadas um  número menor de biópsias quando se aplica o TI-RADS, sem prejuízo na taxa de detecção de tumores malignos da tireoide.

Este cenário traz benefícios para o paciente, pois são realizados menos procedimentos invasivos desnecessariamente.

Ultrassom da tireoideResumo dos principais descritores e da conduta diante de nódulos da tireoide, quando avaliados por um ultrassom da tireoide.

Além da avaliação de nódulos na tireoide a ultrassonografia de tireoide possibilita a avaliação das tireoidites autoimunes como a doença de Graves (hipertireoidismo) e da doença de Hashimoto (hipotireoidismo).

A tireoide apresenta uma aparência diferente na ultrassonografia (textura heterogênea) na vigência destas alterações, além de ser possível a avaliação com Doppler.

Ultrassom da tireoide com Doppler

O ultrassom da tireoide com Doppler avalia a da vascularização dos nódulos e da tireoide como um todo, sendo um marcador de controle da doença no hipertireoidismo.

Outra aplicação do Doppler de tireoide é na avaliação complementar dos nódulos da tireoide, na tentativa de diferenciar tumores benignos e tumores malignos.

O câncer de tireoide possui mais frequentemente predomínio de vascularização central e elevado índice de resistência, enquanto nódulos benignos possuem mais frequentemente vascularização periférica e baixos índices de resistência.

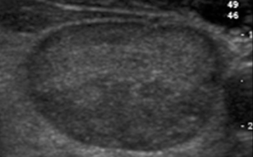
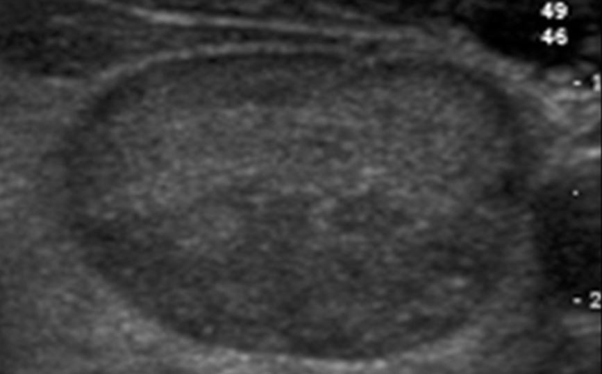
Ultrassom da tireoide

Ultrassom de um nódulo benigno na tireoide, classificado como um TI-RADS 4.

Fatores de qualidade em um exame de ultrassom da tireoide

Eu acredito que não podemos oferecer menos que o máximo, quando o assunto é saúde e 3 fatores precisam estar presente em todos os exames:

  • Médico ultrassonografia capacitado e atualizado;
  • Equipamento de última geração;
  • Tempo adequado no agendamento para a realização do exame.

Texto publicado por Dr. Fernando Guastella, CRM 112.601 SP

Agora que você já sabe um pouco mais sobrea a ultrassonografia da tireoide, conheça o Dr. Fernando Guastella, professor de ultrassonografia do CETRUS e, se precisar, agende seu exame e consulta.

Deixe sua pergunta nos comentários.

 

Saiba mais:

Endometriose: endometriose, cirurgia de endometriose, cólica menstrual, tratamento hormonal, tratamentos alternativos, ressonância magnética, sintomas, ultrassom transvaginal estadiamento e adenomiose.

Ultrassom: mamas, abdome, carótidas.

Saúde: corrimento vaginal, laser, carboidratos, fibras, gorduras, pompoarismo, vaginismo.

 

Referências bibliográficas

  1. Sistema de geração de imagens, relatórios e dados da tireoide da ACR (TI-RADS): White Paper do Comitê ACR TI-RADS. https://pubmed.ncbi.nlm.nih.gov/28372962/;
  2. Nódulos tireoidianos e câncer diferenciado de tireoide: atualização sobre o consenso brasileiro.  https://www.ncbi.nlm.nih.gov/pubmed/23828432;
  3. Nódulos tireoidianos: avaliação com Power Doppler e Duplex Doppler Ultrasound. https://pubmed.ncbi.nlm.nih.gov/15944558/;
  4. https://www.acr.org/Clinical-Resources/Reporting-and-Data-Systems/TI-RADS.
Share on facebook
Share on twitter
Share on google
Share on whatsapp

Cuide-se.
Tire todas as
suas dúvidas.

Deixe um comentário

O seu endereço de e-mail não será publicado. Campos obrigatórios são marcados com *