Ultrassom do abdome total
O ultrassom do abdome total possibilita a avaliação de todos os órgãos sólidos do abdome, como o fígado, rins, baço e pâncreas, de todas as artérias e veias importantes como a aorta abdominal, veia cava inferior, veia porta e dos órgãos que contenham líquido em seu interior, como a vesícula biliar e a bexiga.
Exames de ultrassonografia não conseguem estudar estruturas com gás em seu interior, como o intestino e o estômago.
Para estes órgãos existem exames específicos, como a endoscopia para o estudo do esôfago, estômago e duodeno e da colonoscopia para o estudo do intestino grosso (cólon).
O ultrassom consegue encontrar apenas doenças na parte externa destes órgãos como a endometriose, ou fazer diagnósticos de processos inflamatórios como a apendicite aguda e diverticulite.

Indicações do ultrassom do abdome total
- Avaliação de gordura no fígado (esteatose hepática);
- Diagnóstico de doenças crônicas do fígado como a cirrose;
- Rastreamento de câncer de fígado nos pacientes com doenças hepáticas crônicas;
- Diagnóstico e seguimento de nódulos hepáticos;
- Identificação de pedra na vesícula (colelitíase);
- Diagnóstico de pedra nos rins (nefrolitíase), cistos e tumores renais;
- Avaliação do tamanho do baço, que se encontra aumentado em diversas condições hematológicas e em algumas doenças do fígado;
- Detecção de aterosclerose na aorta abdominal (placas de gordura) e de aneurisma de aorta abdominal (aumento do calibre da aorta);
- Diagnóstico de processos inflamatórios e tumores de pâncreas;
- Investigação de dores abdominais.
Preparo para o exame
- Jejum de 4-6 horas.
- Ingestão de água para que a bexiga esteja cheia no momento do exame.
- Simeticona 80 gotas via oral 2 horas antes do exame. O nome comercial mais conhecido é Luftal. Esta medicação é de uso opcional e sua função é diminui a quantidade de gás, melhorando a imagem do ultrassom.
Quando se fala em jejum para exames de imagem como para o ultrassom do abdome total, é importante ressaltar que o jejum é apenas para alimentos sólidos, leite e sucos.
Água, chá e café sem açúcar podem ser ingeridos sem qualquer problema.
As medicações de uso habitual devem ser tomadas normalmente. Quando se faz jejum para cirurgias, os líquidos estão proibidos, incluído água, café e chás, mas as medicações com pequena quantidade de água devem ser ingeridas nos horários habituais.
A importância do jejum é para a avaliação da vesícula biliar que pode ficar vazia, especialmente se o paciente ingere antes do exame algum alimento muito gorduroso, impedindo a identificação de cálculos ou pólipos.
A falta do jejum pode também atrapalhar a avaliação do pâncreas.
Ultrassonografia do abdome total e dor abdominal
A dor abdominal é uma dos motivos mais comuns para se realizar um ultrassom do abdome total, porém nem sempre é possível descobrir a causa da dor.
Dores abdominais funcionais são causadas geralmente por alterações transitórias e benignas do intestino e nestas situações os exames geralmente são normais.
O exemplo mais comum desta situações são dor abdominal em crianças e quadros de diarreia.
A dor abdominal em crianças deve ser sempre investigada e o ultrassom do abdome total é um dos exames de escolha, pois não emite radiação. Tumores, embora sejam raros em crianças, podem ser causas de dor abdominal, tais como os tumores renais e neuroblastomas.
Ultrassom do Abdome total e Elastografia
A elastografia é um recurso novo nos esquipamento de ultrassom, que permite avaliar a rigidez dos órgãos estudados.
É um recurso que tem sido muito utilizado para avaliar as doenças do fígado, como por exemplo as hepatites e a fibrose hepática que pode ser causada em cerca de 5% dos pacientes que apresentam gordura no fígado, a chamada esteatose hepática.
Caso tenha um pedido de elastografia, o exame pode ser realizado juntamente com o ultrassom do abdome total.
Esteatose hepática
A esteatose hepática é uma doença causada pelo acúmulo de gordura no fígado e pode ser classificada em leve (grau 1), moderada (grau 2) e acentuada (grau 3), de acordo com a quantidade de gordura.
- Esteatose leve: o fígado tem entre 5 e 33% de gordura;
- Esteatose moderada: o fígado tem entre 33% e 66% de gordura;
- Esteatose acentuada: o fígado tem mais de 66% de gordura.
Na maior parte das pessoas a esteatose não determina sintomas e a doença é um fator de risco para o aparecimento de doenças cardíacas, como o infarto.
Cerca de 5% das pessoas com esteatose podem desenvolver uma doença chamada esteatohepatite não alcoólica, também chamada de NASH e que se não tratada pode levar o paciente a um quadro de cirrose hepática.
Ultrassom do abdome total demonstrando líquido livre no abdome (ascite) e um fígado retraído e irregular, compatível com cirrose.
Ultrassom para cálculos na vesícula biliar
A ultrassonografia do abdome é e melhor método por imagem para diagnosticar cálculos na vesícula biliar, sendo inclusive melhor que a tomografia e a ressonância magnética.
Por outro lado, quando o cálculo já deixou a vesícula biliar e ficou preso no colédoco, a ressonância magnética, chamada colangiorressonância é superior ao ultrassom.
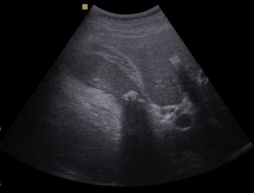
Vesícula biliar espessada e com um cálculo em seu interior, compatível com colecistite. Imagem de um exame de ultrassom do abdome total.
Ultrassonografia para cálculos renais
Para cálculos renais e no ureter a ultrassonografia do abdome é um bom método, porém, a tomografia é um exame superior.
A ultrassonografia deve ser o exame inicial, pois é mais acessível e não emite radiação, sendo que na maior parte das vezes fornecerá o diagnóstico.
Em pessoas com sintomas típicos e resultado negativo pela ultrassonografia do abdome, a tomografia estaria indicada.
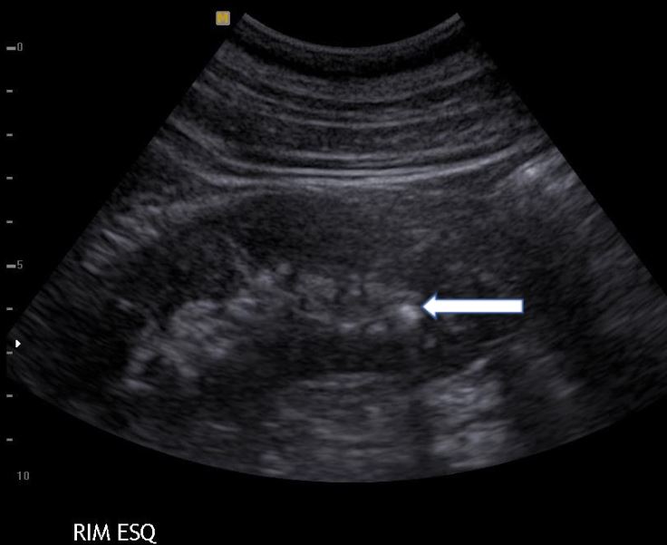
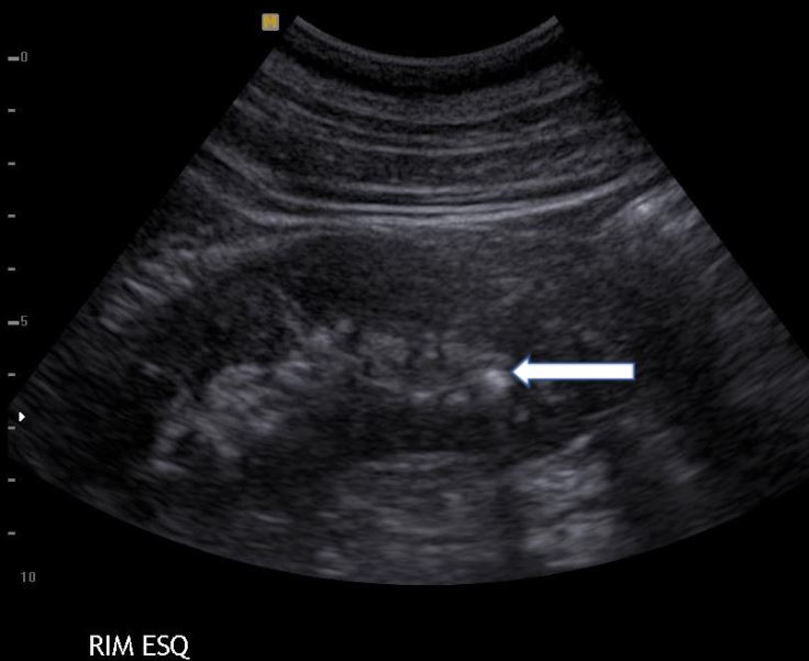
Rim esquerdo com um cálculo no terço inferior, apontado pela seta branca. Exame de ultrassom do abdome total.
Limitações do ultrassom do abdome total
O ultrassom do abdome total pode ser mais difícil na presença de obesidade extrema, pessoas com muitos gases, distensão abdominal e cirurgia prévia extensa realizadas no andar superior do abdome.
Experiência e capacitação do médico ultrassonografista, qualidade do equipamento são os fatores mais importantes para um exame tecnicamente bem feito. A duração do exame também é um fator muito importante, pois o exame não pode ser feito em “5 minutos”.
Toda vez que você sentir algum desconforto ou dor abdominal, especialmente se persistente e ou muito intensa, é importante fazer uma consulta com algum médico de sua confiança.
Nem toda queixa abdominal necessita de um ultrassom do abdome total, mas se precisar, você já sabe algumas informações a respeito do exame.
Agora que você já sabe um pouco mais sobre a ultrassonografia do abdome, conheça o Dr. Fernando Guastella, professor de ultrassonografia do CETRUS e, se precisar, agende o seu exame.

Valor do ultrassom do abdome total
Todos os atendimentos são particulares e o valor é reajustado anualmente. Os exames são agendados a cada 30 minutos.
Alguns planos de saúde disponibilizam reembolso médico, desta forma, você poderia utilizar o seu convênio para fazer o exame.
Deixe seu comentário.
Saiba mais:
Endometriose: endometriose, cirurgia de endometriose, cólica menstrual, tratamento hormonal, tratamentos alternativos, sintomas, especialista em endometriose e adenomiose.
Ultrassom: carótidas.
Saúde: corrimento vaginal, laser, carboidratos, fibras, gorduras, pompoarismo, vaginismo, coronavírus e gravidez.
Referências bibliográficas
- Chammas MC, Cerri GG. Ultra-sonografia Abdominal. 2 Ed., 2009. Rio de Janeiro: Editora Revinter;
- https://www.cetrus.com.br/;
- https://cbr.org.br.



20 Comentários “Ultrassom do abdome total: Quando realizar o”
Parabéns pela clareza no texto.
Muito obrigado pelo comentário!
Obrigado pelo esclarecimento foi ótimo
?
Boa tarde, excelente texto
É possível indentificar uma gravidez e qtde de semanas através deste exame?
Ultrassom para gestantes as imagens são diferentes?
A gestação é possível de ser identificada a partir de 4 semanas e meia, ou seja, logo após o atraso menstrual. Antes disso somente o teste de gravidez.
Alguém pode me tirar essa dúvida?fiz uma ultrassom o médico encontrou cálculos de 6,5 e 4 mm mas depois de dois dias fiz a abdominal total e a médica não encontrou nada e eu não sentir as pedras saindo e agora tenho que fazer a tomografia? Fiz uma da coluna a pouco.
Se os exames foram discordantes a tomografia vai tirar esta dúvida.
Obg doutor pelos esclarecimento.
?
É possível saber de uma possível gravidez por esse exame?”ultrassom do abdômen total”.
Não é o objetivo do exame, mas sim.
Em uma gestação de 8 semanas já é possível ver pelo menos o saco gestacional pelo ultrasom abdominal?
Sim, inclusive com o embrião
Obrigada pelas informações pois me tirou várias dúvidas. Sinto meu intestino inchado e me incomoda ao ter relações sexuais.
Minha filha sofre de cólica menstrual todo mês, o médico solicitou um ultrassom do abdômen total.
Gostaria de saber seria melhor fazer durante o período menstrual ou fora do período?
Os melhores exames para quem tem cólica menstrual são a ultrassonografia transvaginal com preparo intestinal e a ressonâcia magnética. É melhor fazer fora da menstruação.
Se uma mulher fizesse o ultrassom do abdome total e estivesse grávida de quase 12 semanas, daria para ver o feto?
Sim.
Eu fiz ontem um ultrassom abdome total, minha bexiga não estava completamente cheia, porém pedi para o médico dar uma olhada no meu útero e ele disse que não via uma gestação de 11 semanas e 5 dias (data desde minha última relação). Posso desconsiderar gravidez? (Meus betas deram negativo)