Ultrassom transvaginal com preparo intestinal
O ultrassom transvaginal com preparo intestinal, é o exame de escolha para o diagnóstico e estadiamento da endometriose.
Diversos artigos científicos têm demonstrado que o exame possui uma capacidade diagnóstica (sensibilidade) entre 95-100% e deve ser o exame inicial na mulher com sintomas de endometriose.
O exame também é chamado de ultrassonografia transvaginal especializada para endometriose, ou ainda ultrassonografia transvaginal para mapeamento pélvico da endometriose.
Neste texto vou explicar os critérios de qualidade para o exame, alimentação, medicações na véspera e outras dúvidas frequentes.
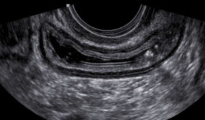
Ultrassom transvaginal com preparo intestinal mostrando a estratificação de uma alça intestinal normal.
O que o ultrassom transvaginal com preparo intestinal avalia
A ultrassonografia transvaginal com preparo intestinal avalia todas as formas de endometriose, além das doenças que um exame transvaginal sem preparo intestinal, como mioma, adenomiose, pólipo endometrial, ovário policístico e hidrossalpinge.
O médico que realiza o ultrassom transvaginal para mapeamento pélvico da endometriose é um especialista em ultrassom transvaginal e todas as doenças ginecológicas geralmente são bem avaliadas e descritas.
A ultrassonografia transvaginal com preparo intestinal, portanto, tem o objetivo de identificar as doenças do útero e ovário e diagnosticar todos os focos de endometriose, seja para o planejamento da cirurgia, do tratamento hormonal ou dos tratamentos alternativos.
Fatores de qualidade do ultrassom transvaginal com preparo intestinal
Para que o ultrassom transvaginal com preparo intestinal tenha uma excelente performance para o diagnóstico da endometriose, é preciso que três fatores estejam presentes:
- Capacitação do médico que realiza o exame;
- Protocolo de exame adequado;
- Equipamento de alta resolução.
Desenho esquemático realizado nos laudos de ultrassom transvaginal com preparo intestinal. Este tipo de informação visual auxilia a paciente a entender a sua doença. No desenho a endometriose está assinalada em cor preta no ovário direito e ligamento uterossacro direito.
Capacitação do médico para realização do exame
Atualmente no Brasil existe um único programa de pós-graduação lat0 senso em ultrassonografia transvaginal para pesquisa de endometriose, que acontece no CETRUS, sob a minha coordenação.
Percebi ao longo dos anos que a curva de aprendizado para atingir a excelência na realização do exame transvaginal com preparo intestinal é longa e requer muita dedicação, sendo considerada uma especialidade dentro da ultrassonografia.
Antes de agendar o exame, certifique-se da formação do médico executante. Este é o principal fator na qualidade de um exame transvaginal para pesquisa de endometriose.
Ultrassom transvaginal com preparo intestinal demonstrando um endometrioma no ovário direito.
Como é o ultrassom transvaginal com preparo intestinal
O exame deve ser realizado pela via transvaginal e abdominal.
Quanto mais completo é o protocolo, mais lesões de endometriose são diagnosticadas durante um exame.
Exames realizados somente pela via transvaginal são insuficientes para o diagnóstico completo de todos os focos de endometriose.
A via transvaginal diagnostica as lesões de endometriose mais comuns, como as localizadas na região retrocervical, ligamento uterossacro, intestino, vagina e bexiga.
A via abdominal detecta lesões de endometriose em locais menos comuns, mas não por isso menos importantes, como as lesões no diafragma, ceco, apêndice, parede abdominal (cicatriz da cesárea), região umbilical e sigmoide.
O exame deve avaliar as seguintes estruturas:
- Septo retovaginal, reto e sigmoide;
- Região retrocervical e ligamentos uterossacros;.
- Avaliação do útero, ovários, pesquisa de aderência e identificação de áreas dolorosas;
- Estudo do ceco, apêndice e íleo pela via transvaginal;
- Compartimento anterior incluindo a bexiga, recesso vesicouterino, ureteres e ligamentos redondos);
- Avaliação da vagina
- Avaliação pelo abdome dos rins, diafragma, ceco, apêndice, íleo, sigmoide, parede abdominal, região umbilical e nervo ciático.
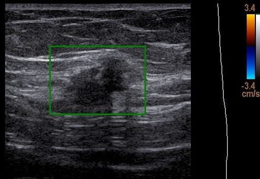
Ultrassom transvaginal com preparo intestinal evidenciando uma lesão de endometriose na cicatriz da cesárea. Endometriose detectada pela via abdominal.
Equipamento de alta resolução
A melhora na resolução das imagens nos equipamentos de ultrassonografia é algo marcante ao longo dos anos, sendo que os equipamentos de alta resolução permitem o diagnóstico de pequenos focos de endometriose com muita nitidez e fazem a diferença em muitos casos.
Orientações para o ultrassom transvaginal com preparo intestinal
- Trazer exames anteriores, inclusive os de sangue (CA125), ultrassom transvaginal, ressonância magnética e relatórios de cirurgias prévias.
- Chegar no consultório com 15 minutos de antecedência do horário agendado para finalizar o preparo intestinal.
Alimentação na véspera do Exame
- Dê preferência para uma dieta líquida ou uma dieta leve. Evite feijão, lentilha, grão de bico e outros alimentos que você sabe que pode determinar gases em você.
- Sugestões: peixe, ovo poche, peito de frango cozido, arroz branco, cenoura, chuchu ou batata cozida e amassada, gelatina, torradas, suco de frutas coado em peneira fina e água de coco.
- Caso o exame esteja agendado no período da tarde. Tome café da manhã. É preciso um jejum de apenas 4 horas para o exame.
Preparo intestinal
O melhor laxante para o exame é o macrogol 3350, um laxante osmótico, que não causa cólica, não é absorvido pelo organismo e tem poucos efeitos colaterais.
Um dos nomes comerciais da substância é Muvinlax®
Medicações na véspera do exame.
- Tomar cinco envelopes do macrogol 3350, diluídos em 600 ml de água às 8h00;
- Tomar mais cinco envelopes do macrogol 3350, diluídos em 600 ml de água às 1400.
No dia do Exame
- Jejum de pelo menos 4 horas;
- Hidrate-se bastante na véspera do exame e antes do exame. A água não entra jejum deste exame.
- Será aplicado um frasco de phosphoenema pela via retal imediatamente antes do exame, para finalizar o preparo intestinal.
Importante: os laxantes ingeridos na véspera do exame podem não causar evacuações.
O preparo no dia do exame com o phosphoenema irá acontecer da mesma forma, independentemente de evacuações na véspera, pois é a parte mais importante do preparo intestinal.
Medicações alternativas caso você não encontre o Muvinlax® para tomar na véspera do exame.
- Bisacodil – 5 mg (Dulcolax®)
- Tomar 2 comprimidos às 08:00 e 2 comprimidos às 14:00;
- Picossulfato de sódio – gotas (Guttalax®)
- Tomar 20 gotas às 08:00 e 20 gotas às 14:00.
Estas duas medicações podem causar dor abdominal do tipo cólica, às vezes de forte intensidade, motivo pelo qual o preparo com Muvinlax® é mais aconselhável.
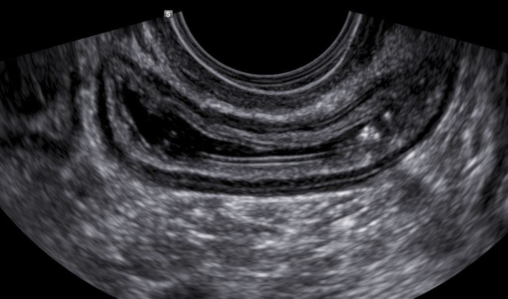
Exame de ultrassom transvaginal com preparo intestinal. Identifica-se endometriose profunda localizada no ligamento útero-sacro direito que encontra-se espessado. As setas brancas assinalam a endometriose.
Qual exame é melhor? Ressonância magnética ou ultrassom transvaginal com preparo intestinal
Os dois exames podem ser utilizados na avaliação da mulher com suspeita de endometriose.
A vantagem do ultrassom transvaginal com preparo intestinal é a melhor identificação das lesões de endometriose de pequenas dimensões, endometriose no intestino e no diagnóstico de aderências, por ser um método dinâmico.
A vantagem da ressonância magnética é na avaliação de pequenos endometriomas, mulheres com útero de grandes dimensões e na avaliação da endometriose no diafragma.
O primeiro exame para ser realizado é a ultrassonografia para pesquisa de endometriose e, se houver necessidade, a ressonância será solicitada.
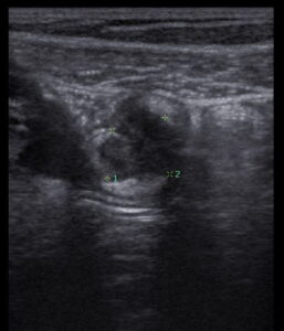
Imagem de ultrassom transvaginal com preparo intestinal, evidenciando endometriose no apêndice.
Dúvidas frequentes
O ultrassom transvaginal com preparo intestinal dói?
O ultrassom transvaginal com preparo intestinal é um exame muito mais demorado que um ultrassom transvaginal simples, e por estes motivo, acaba incomodando mais.
O exame com preparo intestinal não dói mais que o ultrassom transvaginal simples.
O exame é feito pelo convênio?
O exame é realizado somente de forma particular. Se você tem direito a reembolso, avalie esta possibilidade com as secretárias.
Para saber sobre o valor do exame, entrar em contato com o consultório.

Agora que você já sabe um pouco mais sobre o ultrassom transvaginal com preparo intestinal, conheça o Dr. Fernando Guastella, médico ginecologista especialista no diagnóstico e tratamento da endometriose e agende uma consulta ou exame.
Deixe sua pergunta nos comentários.
Saiba mais:
Ultrassom: tireoide, mamas, abdome, carótidas.
Saúde: rejuvenescimento íntimo, corrimento vaginal, laser, pompoarismo, vaginismo,
Referências bibliográficas
- Acurácia do ultrassom transvaginal versus ressonância magnética no diagnóstico da endometriose retossigmóide: revisão sistemática e metanálise. https://journals.plos.org/plosone/article?id=10.1371/journal.pone.0214842;
- Acurácia do Ultrassom Transvaginal para Diagnóstico de Endometriose Profunda no Retossigmoide: Revisão Sistemática e Meta-Análise. https://obgyn.onlinelibrary.wiley.com/doi/full/10.1002/uog.15662;
- Abordagem sistemática da avaliação ultrassonográfica da pelve em mulheres com suspeita de endometriose, incluindo termos, definições e medidas: uma opinião de consenso do grupo International de Analise da Endometriose Profunda (IDEA). https://obgyn.onlinelibrary.wiley.com/doi/full/10.1002/uog.15955
- Diagnóstico por ultrassom de endometriose e adenomiose: estado da arte. https://www.sciencedirect.com/science/article/abs/pii/S1521693418300312?via%3Dihub;
- Ultrassonografia para Endometriose Profunda Infiltrativa e Ovariana. https://www.thieme-connect.com/products/ejournals/abstract/10.1055/s-0036-1597127;
- Ultrassom transvaginal versus ressonância magnética para diagnóstico de endometriose profunda infiltrativa profunda: revisão sistemática e metanálise. https://obgyn.onlinelibrary.wiley.com/doi/full/10.1002/uog.18961;
- Recomendações para ultrassonografia em ginecologia. Sociedade Internacional de Ultrassonografia em Ginecologia e Obstetrícia. https://www.isuog.org/.





