Blog

Ultrassonografia de Mamas: quando realizar

Ultrassom mamário

Ultrassonografia de Mamas

A ultrassonografia de mamas é um exame que pode ser realizado por diversas indicações diferentes na mulher e sempre que necessário, pois a ultrassonografia não emite qualquer tipo de radiação, ou seja, é um exame que não faz mal a mulher.

 

Ultrassonografia de Mamas: quando realizar?

As principais indicações de ultrassonografia de mamas são:

  • Complementação de um exame de mamografia;
  • Rastreamento do câncer de mama;
  • Nódulo de mama palpável em qualquer idade;
  • Dor mamária;
  • Avaliação dos implantes mamários de silicone;
  • Diagnóstico de processos infeciosos (mastites);
  • Realização de biópsias de mama dirigidas pela ultrassonografia.

 

Câncer de Mama

O câncer de mama é o tumor maligno mais comum e a principal causa de morte por câncer nas mulheres.

 

Representa 29,7% de todos os tumores malignos, sendo cerca de 3 vezes mais comum que o segundo colocado, o câncer de cólon e reto com 9,2%.

 

Estes dados são a estimativa do Instituto Nacional do Câncer (INCA), para 2020 no Brasil.

 

incidência de tumores malignos

Na tabela acima encontra-se a estimativa dos 10 tumores malignos mais comuns no homem e na mulher de acordo com o INCA para 2020, exceto pele não melanoma.

 

Por conta da alta incidência do câncer de mama e pela sua taxa de mortalidade estar diretamente relacionada com o estadiamento da doença, quanto mais precoce é realizado o diagnóstico, maior a chance de cura, e por isso, é imprescindível que o câncer de mama seja diagnosticado em fase inicial, antes dos sintomas, a chamada fase pré-clínica.

 

Câncer de mama: mamografia ou ultrassonografia de mamas

O rastreamento recomendado pela Federação Brasileira de Ginecologia e Obstetrícia (FEBRASGO) e pela Sociedade Brasileira de Mastologia entre outras sociedades, é a realização anual de mamografia para mulheres entre 40 anos e 74 anos.

 

Estas recomendações visam otimizar os recursos disponíveis, mas por outro lado deixam uma parcela da população descoberta para o rastreamento.

 

Mulheres com alto risco para câncer de mama, como nas portadoras de mutações no gene BRCA 1 e BRCA 2 devem realizar rastreamento com ressonância magnética além de uma ampla discussão dos prós e contra da retirada do tecido mamário profilaticamente, a chamada adenomastectomia.

 

A ultrassonografia de mamas pode complementar a mamografia em muitos aspectos, sendo as principais indicações:

  • Mamografias inconclusivas;
  • Na diferenciação de nódulos e cistos (a mamografia não diferencia nódulo de cisto);
  • Mulheres com mamas acentuadamente densas, em que a mamografia tem baixa sensibilidade para o diagnóstico de câncer de mama;
  • Mulheres abaixo de 40 anos, já que frequentemente as mamas são densas e para não expor as mulheres antes dos 40 anos à radiação da mamografia.

 

Se você tem idade para realizar a mamografia, sempre que possível realize a ultrassonografia de mamas após a realização da mamografia.

 

O médico que fizer o exame de mama deve avaliar a mamografia e na sequência realizar o exame de ultrassonografia das mamas.

 

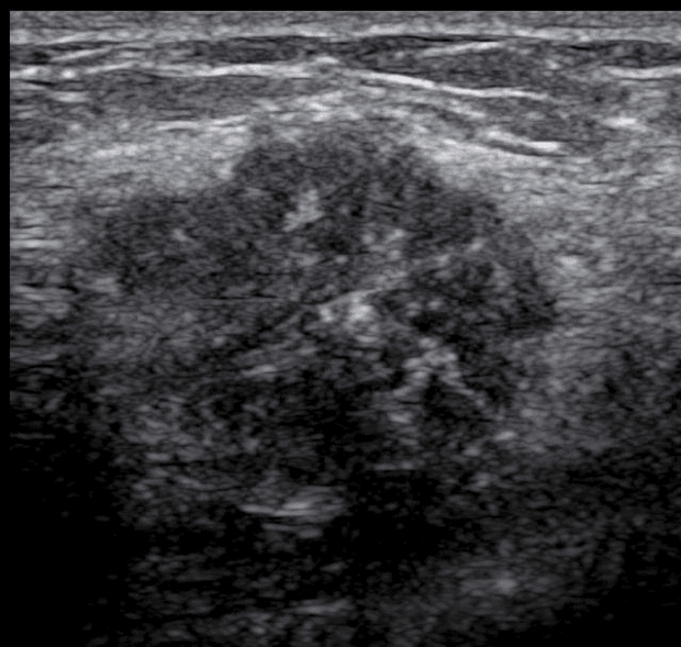
câncer na ultrassonografia de mamas

Ultrassonografia de mamas demonstrando um nódulo provavelmente maligno. Na avaliação anatomopatológica foi confirmado um carcinoma ductal grau 3 (câncer).

Ultrassonografia de mamas e Dor mamária

Dor nas mamas é um sintoma muito comum e gera muita ansiedade, pois a mulher associa a dor com a possibilidade de câncer de mama.

 

Na maior parte das vezes os exames de ultrassonografia de mamas são normais ou encontram-se cistos.

 

A presença de dor nas mamas, que pode ou não estar associada a cistos é chamada de alterações fibrocísticas da mama, uma doença benigna e muito comum.

 

Quando o cisto apresentar grandes dimensões e determinar alterações na forma da mama, que incomode a mulher esteticamente ou que cause dor local de forte intensidade, é possível realizar a aspiração do cisto, guiada pela ultrassonografia de mamas.

 

Este procedimento não deve ser realizado em cistos comuns e assintomáticos.

 

cisto no ultrassom de mamas

Ultrassonografia de mamas demonstrando um cisto simples. Imagem tipicamente benigna.

 

Ultrassonografia de mamas e implantes mamários de silicone

A ultrassonografia de mamas é o exame ideal para a avaliação dos impantes mamários na rotina.

 

Implantes de silicone nas mamas são extremamente prevalentes e necessitam de acompanhamento pela possibilidade de rotura. As roturas podem ser intracapsulares ou extracapsulares.

 

Os implantes diminuem a capacidade da mamografia de detectar o câncer de mama e na mamografia é possível identificar somente a rotura extracapsular.

 

A ultrassonografia de mamas complementa a avaliação mamografica e o estudo dos implantes, já que a ultrassonografia tem a capacidade de diagnosticar a rotura intracapsular e a extracapsular.

 

prótese mamária

Ultrassonografia de mamas demonstrando um implante de silicone localizado atrás do músculo peitoral maior (retromuscular).

Ultrassonografia de mamas para avaliação de mastites

Infecções nas mamas são chamadas de mastites e são mais frequentes durante a amamentação e nas mulheres tabagistas.

 

Na presença de um processo infeccioso é fundamental saber se existe um abscesso (coleção de pus) na mama, pois o tratamento muda na vigência de um abscesso.

 

A ultrassonografia de mamas é o exame de escolha para identificação de abcessos na mama, quando a mulher apresenta sinais de mastite.

Biópsias guiadas pela ultrassonografia de mamas 

As biópsias de mama sempre que possível devem ser realizadas guiadas pela ultrassonografia de mamas.

 

A biópsia somente será guiada pela mamografia se o nódulo ou a área que precisa ser estudada não é visível pela ultrassonografia.

 

nódulo no ultrassom de mamas

Ultrassom de mamas demonstrando um nódulo provavelmente benigno. Na avaliação anatomopatológica foi confirmado fibroadenoma (nódulo benigno).

O que é BI-RADS?

BI-RADS é um acrônimo para Breast Imaging Reporting and Data System, ou seja, é uma sistematização internacional para a avaliação mamária pelos exames de imagem, incluindo a ultrassonografia de mamas, mamografia e ressonância magnética de mamas.

 

O BI-RADS possibilita a avaliação do risco de malignidade e qual conduta que deve ser adotada.

BI-RADS ultrassonográfico

  • Bi-RADS US categoria 0: exame inconclusivo. Deverá ser feita alguma complementação.
  • BI-RADS US categoria 1: exame normal;
  • BI-RADS US categoria 2: achados benignos, como por exemplo cistos;
  • BI-RADS US categoria 3: achados provavelmente benignos. Risco de câncer menos que 2%, como por exemplo fibroadenomas. Seguimento de 6 em 6 meses;
  • BIRAS 4: achados suspeitos para câncer. Risco de malignidade entre 2 e 95%, sendo necessário realizar biópsia;
  • BI-RADS 5: achados altamente suspeitos para câncer. Risco de malignidade maior que 95%, sendo necessário realizar biópsia;
  • BI-RADS 6: câncer já confirmado por biópsia.

 

Preparo para o exame

Não há necessidade de preparo para o exame.

Diferentemente do exame de mamografia, os desodorantes podem ser utilizados normalmente pois não atrapalham a ultrassonografia.

Trazer exames anteriores, incluindo mamografia, ressonância magnética, biópsias e resultado anatomopatológico de cirurgia, se disponível.

 

Agora que você já sabe um pouco mais sobre o ultrassom de mamas, agende seu exame exame com o Dr. Fernando Guastella, ginecologista e professor de ultrassonografia do CETRUS.

 

Você sabe o que é Ginecologia Integrativa?

 

Deixe sua pergunta nos comentários.

 

Saiba mais:

Endometriose: endometriose, cirurgia de endometriose, cólica menstrual, tratamento hormonal, tratamentos alternativos, ressonância magnética, sintomas, ultrassom transvaginal, especialista em endometriose e adenomiose.

Ultrassom: tireoide, abdome, carótidas.

Saúde: corrimento vaginal, laser, carboidratos, fibras, gorduras, pompoarismo, vaginismo, coronavírus e gravidez

 

Referência bibliográficas

  1. Recomendações do Colégio Brasileiro de Radiologia e Diagnóstico por Imagem, da Sociedade Brasileira de Mastologia e da Federação Brasileira das Associações de Ginecologia e Obstetrícia para o rastreamento do câncer de mama. http://www.scielo.br/pdf/rb/v50n4/pt_0100-3984-rb-50-04-0244.pdf;
  2. Estimativa de incidência de câncer no Brasil em 2020. https://www.inca.gov.br/sites/ufu.sti.inca.local/files//media/document//estimativa-2020-incidencia-de-cancer-no-brasil.pdf;
  3. Colégio Brasileiro de Radiologia e Diagnóstico por Imagem. https://cbr.org.br;
  4. American College of Radiology. https://www.acr.org/.
Share on facebook
Share on twitter
Share on google
Share on whatsapp

Cuide-se.
Tire todas as
suas dúvidas.

2 Comentários “Ultrassonografia de Mamas: quando realizar

Deixe um comentário

O seu endereço de e-mail não será publicado. Campos obrigatórios são marcados com *